首页
伤感说说
动漫配图
心情说说
抖音文案
伤感图片
伤感说说:
伤感的句子说说心情
空间说说
心情说说
爱情说说
女生伤感说说
人生感悟
心情不好的说说
说说带图片
关于生活的说说
说说心情短语
qq空间说说带图片
个性说说
励志名言
一句话经典语录
感悟人生的经典句子
短句吧
情感故事
抖音文案
伤感图片:
伤感图片带字
非主流伤感图片
唯美伤感图片
女生伤感图片
唯美意境图片
悲伤的图片
唯美意境伤感图片
只有字的伤感图片
说说图片
伤心的图片
美甲图片
图片大全
情感图片
微信头像男
动态壁纸
动漫配图
伤感图片
首页
>
鞍区ct扫描范围图片
鞍区ct扫描范围图片,正常CT蝶鞍图片
头颅ct检查提示:鞍区可见一类圆形稍高密度影,边界清晰锐利,以宽基底
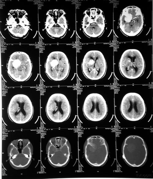
头颅ct可见鞍区类圆形高密度影
昨天刚收的病人,以头痛就诊,无视神经损害症状,查头颅ct发现鞍区肿瘤
这么全的鞍区影像解剖,赶紧收藏备用!
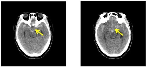
经检查ct:鞍区占位,密度混杂,鞍底骨质破坏,向蝶窦内发展 视力检查
更多推荐
正常CT蝶鞍图片
鞍区在什么位置图片
鞍区ct图片
空泡蝶鞍ct表现及图片
鼻咽部ct扫描范围图片
ct头颅鞍区图片
头颅鞍区图片
正常肺ct片图片图解
手机扫描图片怎么扫描
鞍区图片
鞍区在哪个部位图片
ct图片胸片
正常脑ct图片
ct片子图片
ct图片
正常人的肺部ct图片
肺部ct图片
肝癌ct图片
肺癌ct图片
正常健康肺的ct图片
怎么扫描图片
肺结核ct图片
肺炎ct图片
ct图片全身
健康人肺的ct高清图片
大脑鞍区示意图
如何扫描图片为电子版
鞍区解剖图
图片扫描识别
CT扫描