首页
伤感说说
动漫配图
心情说说
抖音文案
伤感图片
伤感说说:
伤感的句子说说心情
空间说说
心情说说
爱情说说
女生伤感说说
人生感悟
心情不好的说说
说说带图片
关于生活的说说
说说心情短语
qq空间说说带图片
个性说说
励志名言
一句话经典语录
感悟人生的经典句子
短句吧
情感故事
抖音文案
伤感图片:
伤感图片带字
非主流伤感图片
唯美伤感图片
女生伤感图片
唯美意境图片
悲伤的图片
唯美意境伤感图片
只有字的伤感图片
说说图片
伤心的图片
美甲图片
图片大全
情感图片
微信头像男
动态壁纸
动漫配图
伤感图片
首页
>
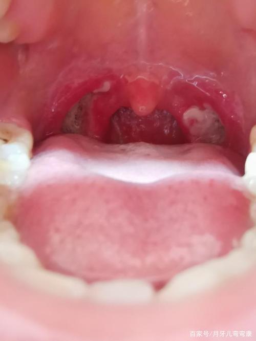
扁桃体术后
扁桃体术后,扁桃体切除术
腺样体扁桃体切除术后注意事项
扁桃体术后白膜脱落过程图
扁桃体术后第五天
扁桃体肥大必须手术治疗吗?
保留半月襞(semilunar fold)的等离子下扁桃体包膜内切除术
更多推荐
扁桃体切除术
扁桃体术后白膜
扁桃体术后图片
扁桃体摘除术
扁桃体手术过程
扁桃体
扁桃体在哪
扁桃体化脓
扁桃体肥大
扁桃体发炎
扁桃体术后增生图片
扁桃体手术图片
扁桃体炎
扁桃体肿大
扁桃体糜烂
扁桃体术后恢复照片
扁桃体切除术图片
扁桃体术后感染图片
扁桃体结石
扁桃体术后恢复过程图
扁桃体术后疤痕图片
扁桃体手术后痊愈图片
扁桃体儿童
扁桃体图片
扁桃体切除手术价格
扁桃体手术后感染图片
扁桃体发炎真人
扁桃体微创手术过程图
扁桃体手术伤口白膜图
扁桃体手术伤口恢复图