首页
伤感说说
动漫配图
心情说说
抖音文案
伤感图片
伤感说说:
伤感的句子说说心情
空间说说
心情说说
爱情说说
女生伤感说说
人生感悟
心情不好的说说
说说带图片
关于生活的说说
说说心情短语
qq空间说说带图片
个性说说
励志名言
一句话经典语录
感悟人生的经典句子
短句吧
情感故事
抖音文案
伤感图片:
伤感图片带字
非主流伤感图片
唯美伤感图片
女生伤感图片
唯美意境图片
悲伤的图片
唯美意境伤感图片
只有字的伤感图片
说说图片
伤心的图片
美甲图片
图片大全
情感图片
微信头像男
动态壁纸
动漫配图
伤感图片
首页
>
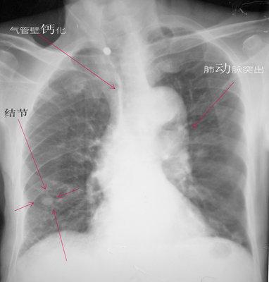
肺结节片子
肺结节片子,肺结节空洞
肺上有结节5个细节揭示有没有癌细胞医生教你看ct片
大家帮我看看这是我们家亲戚刚刚拍出的肺部片子,上面说:右肺有叶结节
一起来看片~5分钟找到"肺部小结节"
刘懿博士说肺癌二亖亖三发现肺结节为了快找家医院拍ct可以吗
右肺下叶胸膜下小结节影,请结合临床随访,这是什么意思?严重吗?
更多推荐
肺结节空洞
肺结节胸膜
肺结节空泡
肺结节4mm
肺结节手术
肺结节症状
肺结节病灶
肺结节密度
肺结节ct图片
肺炎ct图片
肺结核片子
肺部结节
肺癌片子图
肺磨玻璃结节
结节图片
结节
乳腺结节图片
乳腺结节
乳腺增生结节
磨玻璃结节
乳房结节图片
皮肤结节
皮肤结节图片
胫骨结节
乳腺结节三类
坐骨结节
怎么看肺部ct片子图解
乳腺小结节三类
ct片子图片
肱骨大结节