首页
伤感说说
动漫配图
心情说说
抖音文案
伤感图片
伤感说说:
伤感的句子说说心情
空间说说
心情说说
爱情说说
女生伤感说说
人生感悟
心情不好的说说
说说带图片
关于生活的说说
说说心情短语
qq空间说说带图片
个性说说
励志名言
一句话经典语录
感悟人生的经典句子
短句吧
情感故事
抖音文案
伤感图片:
伤感图片带字
非主流伤感图片
唯美伤感图片
女生伤感图片
唯美意境图片
悲伤的图片
唯美意境伤感图片
只有字的伤感图片
说说图片
伤心的图片
美甲图片
图片大全
情感图片
微信头像男
动态壁纸
动漫配图
伤感图片
首页
>
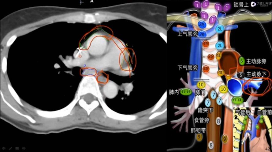
纵隔淋巴结在哪里
纵隔淋巴结在哪里,纵隔淋巴结
纵隔淋巴结新分区ct
肺癌纵隔淋巴结分区
今日分享 — 纵隔淋巴结分区图谱
纵隔淋巴结分区的快速记忆
纵隔淋巴结分区图谱(美国胸科协会) 发表者:陈海石 (访问人次
更多推荐
纵隔淋巴结
纵隔淋巴结位置图
纵隔淋巴结肿大
纵隔淋巴结分区图谱
肺纵隔图片
龙门石窟在哪里
天柱山在哪里
青木川古镇在哪里
芙蓉镇在哪里
周庄古镇在哪里
海陵岛在哪里
西塘古镇在哪里
南泥湾在哪里
横店影视城在哪里
凤凰古城在哪里
黄姚古镇在哪里
衡山在哪里
三清山在哪里
可可托海在哪里
黄山在哪里
白鹿洞书院在哪里
武当山在哪里
月牙泉在哪里
淋巴结在哪里部位图片
天门山在哪里
林芝在哪里
肾在哪里
肝在哪里
车架号在哪里