首页
伤感说说
动漫配图
心情说说
抖音文案
伤感图片
伤感说说:
伤感的句子说说心情
空间说说
心情说说
爱情说说
女生伤感说说
人生感悟
心情不好的说说
说说带图片
关于生活的说说
说说心情短语
qq空间说说带图片
个性说说
励志名言
一句话经典语录
感悟人生的经典句子
短句吧
情感故事
抖音文案
伤感图片:
伤感图片带字
非主流伤感图片
唯美伤感图片
女生伤感图片
唯美意境图片
悲伤的图片
唯美意境伤感图片
只有字的伤感图片
说说图片
伤心的图片
美甲图片
图片大全
情感图片
微信头像男
动态壁纸
动漫配图
伤感图片
首页
>
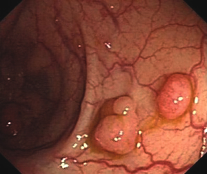
胃息肉图片大全大图
胃息肉图片大全大图,腺瘤性胃息肉图片
专栏| 有些胃息肉,治一治就能好.
胃镜图片-胃息肉
图4 胃镜:胃体多发息肉. 图5 结肠镜:多发息肉.
早期良性胃息肉图片
胃息肉
更多推荐
腺瘤性胃息肉图片
良性胃息肉图片
胃息肉的种类图片大全
恶性胃息肉图片
胃息肉图片大全胃镜
胃息肉胃镜图片
胃息肉片子图片
胃息肉图片
胃息肉图片种类
胃癌图片做胃镜图片
恶性胃息肉胃镜图片
胃息肉图片辨别
胃息肉图片报告
胃息肉图片恶性
胃息肉图片症状
多发性胃息肉图片大全
胃息肉夹子图片
胃息肉在胃镜下的图片
胃息肉胃镜报告单图片
胃息肉什么样子图片
路的图片大全大图
什么是息肉图片
心图片大全大图
提醒图片大全大图
花的图片大全大图
胃息肉的早期症状图片
胃癌胃镜图片
红船图片大全大图
胃息肉病理报告单图片
胃息肉手术夹子图