首页
伤感说说
动漫配图
心情说说
抖音文案
伤感图片
伤感说说:
伤感的句子说说心情
空间说说
心情说说
爱情说说
女生伤感说说
人生感悟
心情不好的说说
说说带图片
关于生活的说说
说说心情短语
qq空间说说带图片
个性说说
励志名言
一句话经典语录
感悟人生的经典句子
短句吧
情感故事
抖音文案
伤感图片:
伤感图片带字
非主流伤感图片
唯美伤感图片
女生伤感图片
唯美意境图片
悲伤的图片
唯美意境伤感图片
只有字的伤感图片
说说图片
伤心的图片
美甲图片
图片大全
情感图片
微信头像男
动态壁纸
动漫配图
伤感图片
首页
>
膀胱癌图片菜花
膀胱癌图片菜花,膀胱癌死亡率高吗
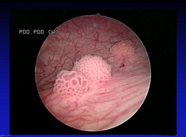
膀胱镜下"菜花样"的膀胱癌
患者的菜花样膀胱肿瘤) 术后,肿瘤切片被病理检查确诊为膀胱癌
全麻成功后,顺利进镜至膀胱内,见膀胱右后壁一菜花状新生物,直径约2.
所有分类 医药卫生 临床医学 膀胱肿瘤病人的护理ppt 病理 原位癌
小心膀胱癌!
更多推荐
膀胱癌死亡率高吗
膀胱癌恶性肿瘤图片
膀胱癌手术后能活几年
膀胱癌菜花状图片
膀胱癌的早期症状
膀胱癌全切后挂袋图
膀胱癌真实图片
膀胱癌菜花
膀胱癌的图片
膀胱癌图片
膀胱癌图片早期
膀胱菜花状肿瘤图片
膀胱癌镜下图片
膀胱癌图片尿液
膀胱肿瘤图片
膀胱癌示意图
膀胱癌血尿图
膀胱癌的早期症状图片
膀胱癌尿液真实图片
膀胱癌的早期症状图
膀胱癌
膀胱癌真实
膀胱癌症状
菜花状疣图片
菜花图片
菜花疣的症状图片
膀胱癌分期
浅表性膀胱癌
老年人膀胱癌
膀胱癌手术