首页
伤感说说
动漫配图
心情说说
抖音文案
伤感图片
伤感说说:
伤感的句子说说心情
空间说说
心情说说
爱情说说
女生伤感说说
人生感悟
心情不好的说说
说说带图片
关于生活的说说
说说心情短语
qq空间说说带图片
个性说说
励志名言
一句话经典语录
感悟人生的经典句子
短句吧
情感故事
抖音文案
伤感图片:
伤感图片带字
非主流伤感图片
唯美伤感图片
女生伤感图片
唯美意境图片
悲伤的图片
唯美意境伤感图片
只有字的伤感图片
说说图片
伤心的图片
美甲图片
图片大全
情感图片
微信头像男
动态壁纸
动漫配图
伤感图片
首页
>
前纵隔结节
前纵隔结节,肺纵隔图片
纵隔是什么前纵隔是什么意思纵隔的解剖分区图
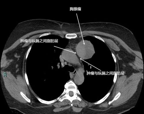
胸腺瘤前纵隔占位前纵隔结节是癌症吗
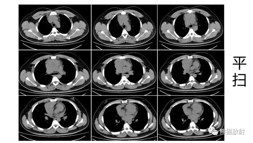
省立影像读片前纵隔肿瘤2109
胸腺瘤/前纵隔占位/前纵隔结节/伴有肌无力是癌症吗?
省立影像读片前纵隔肿瘤2109
更多推荐
肺纵隔图片
前纵隔图片
前纵隔的解剖位置图片
前纵隔在哪个位置图片
前纵隔占位
肺纵隔在人体位置图
纵隔解剖图
前纵隔胸腺瘤
前纵隔位置
纵隔立体图
人体前纵隔位置图
前纵隔位置图片
前纵隔
前纵隔肿瘤
前纵隔正面图
前纵隔和后纵隔解剖图
前纵隔CT
前上纵隔胸腺
纵隔淋巴结
前纵隔囊性灶
前纵隔解剖
肺部纵隔
纵隔结构图
前纵隔ct图
纵隔胸膜
纵隔
结节
纵隔肿瘤
肺部结节
子宫纵隔