首页
伤感说说
动漫配图
心情说说
抖音文案
伤感图片
伤感说说:
伤感的句子说说心情
空间说说
心情说说
爱情说说
女生伤感说说
人生感悟
心情不好的说说
说说带图片
关于生活的说说
说说心情短语
qq空间说说带图片
个性说说
励志名言
一句话经典语录
感悟人生的经典句子
短句吧
情感故事
抖音文案
伤感图片:
伤感图片带字
非主流伤感图片
唯美伤感图片
女生伤感图片
唯美意境图片
悲伤的图片
唯美意境伤感图片
只有字的伤感图片
说说图片
伤心的图片
美甲图片
图片大全
情感图片
微信头像男
动态壁纸
动漫配图
伤感图片
首页
>
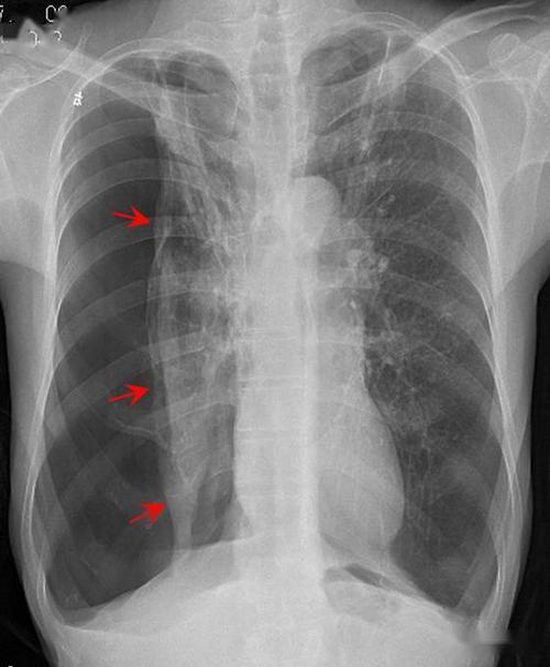
气胸的片子图片
气胸的片子图片,气胸胸片典型图片
读懂影像报告专题_医学论坛网03网聚医学的力量,源自中国医学论坛报
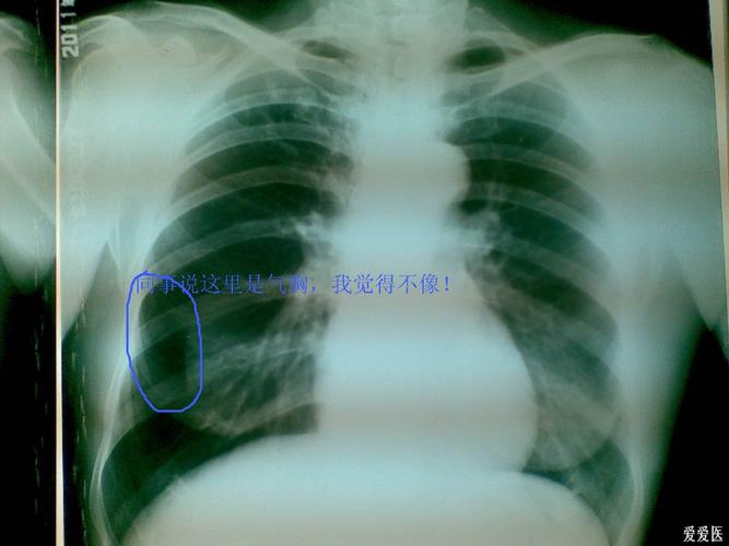
帮看一下胸片,同事报的是气胸,我觉得不像呀!已经做ct
气胸时如何大体判断肺被压迫的程度?
气胸是怎么回事
典型的结核病人液气胸胸片
更多推荐
气胸胸片典型图片
气胸的图片
气胸片子
气胸线图片
气胸x线胸片图解
气胸胸片
气胸x线胸片
ct片子图片
肺癌片子图
气胸的x线表现
气胸微创手术疤痕图片
骨折片子图
气胸
气胸排气
气胸手术
气胸ct
液气胸
气胸插管
气胸病人
血气胸
气胸四大症状
闭合性气胸
片子
气胸是什么症状
片子正常
小片子
开放性气胸
拍片子
ct片子
核磁共振片子图解