首页
伤感说说
动漫配图
心情说说
抖音文案
伤感图片
伤感说说:
伤感的句子说说心情
空间说说
心情说说
爱情说说
女生伤感说说
人生感悟
心情不好的说说
说说带图片
关于生活的说说
说说心情短语
qq空间说说带图片
个性说说
励志名言
一句话经典语录
感悟人生的经典句子
短句吧
情感故事
抖音文案
伤感图片:
伤感图片带字
非主流伤感图片
唯美伤感图片
女生伤感图片
唯美意境图片
悲伤的图片
唯美意境伤感图片
只有字的伤感图片
说说图片
伤心的图片
美甲图片
图片大全
情感图片
微信头像男
动态壁纸
动漫配图
伤感图片
首页
>
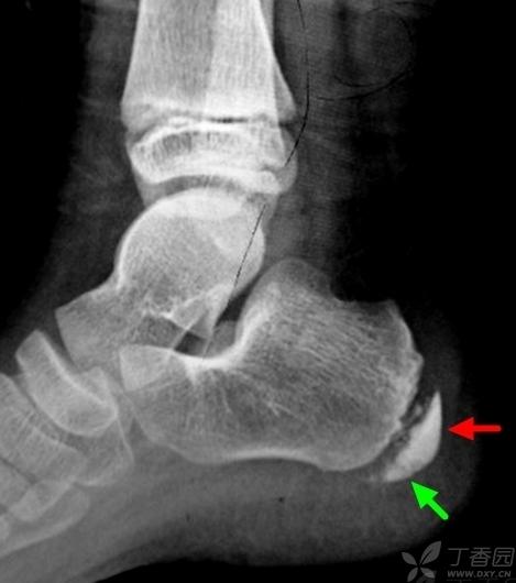
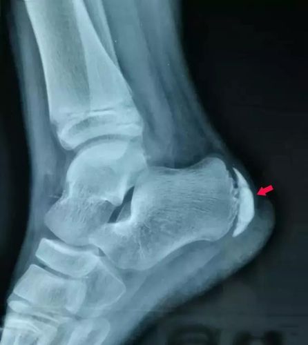
跟骨骨骺炎x线影像图
跟骨骨骺炎x线影像图,正常儿童跟骨骨骺图片
医学影像园-影像园-儿科影像学-跟骨骨骺骨软骨炎?(氏
支持大家的意见:跟骨骨骺炎. 表现: 跟骨骨骺密度不均匀增高
年轻人的跟骨 - 医学影像学讨论版 - 爱爱医医学论坛
儿童运动过度的骨骺炎
x线片可显示胫骨结节骨骺呈舌状,骨骺骨质致密或边缘不规则,有时可见
更多推荐
正常儿童跟骨骨骺图片
儿童跟骨骨骺炎
儿童足部x线骨骺图
10岁儿童髌骨骨骺x线
儿童跟骨骨骺x线图片
跟骨骨骺图片
跟骨骨骺炎
儿童跟骨骨骺炎x线
小儿髌骨骨骺x线图
肱骨近端骨骺x线图片
肱骨骨骺x线图片
小儿肱骨骨骺x线图片
正常肱骨骨骺x线图片
儿童跟骨骨骺炎图片
跟骨骨骺炎位置图
胫骨结节骨骺炎图片
正常鼻骨x线影像图片
胫骨结节骨骺炎
儿童踝关节骨骺x线
胰腺炎x线影像
儿童跟骨x线图片
痛风石x线影像图片
骨骺骨折分型图
口腔致密性骨炎x线图
跟骨骨骺
颌骨致密性骨炎图片
儿童髌骨骨骺图
骨骺炎
儿童肱骨骨骺解剖图
正常鼻骨x线图片