首页
伤感说说
动漫配图
心情说说
抖音文案
伤感图片
伤感说说:
伤感的句子说说心情
空间说说
心情说说
爱情说说
女生伤感说说
人生感悟
心情不好的说说
说说带图片
关于生活的说说
说说心情短语
qq空间说说带图片
个性说说
励志名言
一句话经典语录
感悟人生的经典句子
短句吧
情感故事
抖音文案
伤感图片:
伤感图片带字
非主流伤感图片
唯美伤感图片
女生伤感图片
唯美意境图片
悲伤的图片
唯美意境伤感图片
只有字的伤感图片
说说图片
伤心的图片
美甲图片
图片大全
情感图片
微信头像男
动态壁纸
动漫配图
伤感图片
首页
>
骨髓的真正图片
骨髓的真正图片,抽取骨髓的图片
奇怪的骨髓片
为什么要用人参牛骨髓肽养骨髓?
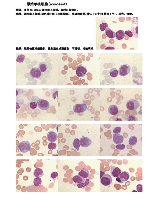
骨髓图片(单核系).doc 4页
骨髓.jpg
好的骨髓图片
更多推荐
抽取骨髓的图片
抽骨髓是从哪里抽图片
牛骨髓是什么样的图片
牛骨髓图片大全大图
人骨髓真实图片
人的骨髓图片
骨髓长什么样子图片
骨髓的颜色
骨髓穿刺针图片
骨髓图片大全
抽骨髓后的伤口图片
骨髓在人体哪个部位图
骨髓是什么东西图片
抽出来的骨髓图片
牛骨髓图片
人的骨髓是什么样子
骨髓炎图片 早期症状
骨髓镜下图片
骨髓是什么样子的图片
骨髓位置图片
骨髓的意思
骨髓图片
人骨髓图片
正常骨髓报告单图片
骨髓穿刺图片
骨髓小粒图片
真正的尿蛋白图片
骨髓真实
真正的死人图片
骨髓结构图