首页
伤感说说
动漫配图
心情说说
抖音文案
伤感图片
伤感说说:
伤感的句子说说心情
空间说说
心情说说
爱情说说
女生伤感说说
人生感悟
心情不好的说说
说说带图片
关于生活的说说
说说心情短语
qq空间说说带图片
个性说说
励志名言
一句话经典语录
感悟人生的经典句子
短句吧
情感故事
抖音文案
伤感图片:
伤感图片带字
非主流伤感图片
唯美伤感图片
女生伤感图片
唯美意境图片
悲伤的图片
唯美意境伤感图片
只有字的伤感图片
说说图片
伤心的图片
美甲图片
图片大全
情感图片
微信头像男
动态壁纸
动漫配图
伤感图片
首页
>
皮肤软组织肿瘤图片
皮肤软组织肿瘤图片,皮肤软组织纤维瘤图片
臀部巨大软组织肉瘤 怎么切除是个问题
皮肤肿瘤之二基底细胞癌
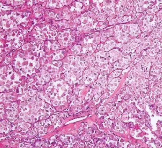
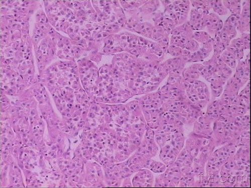
腺泡状软组织肉瘤恶性程度不高,肿瘤生长较为缓慢.
典型病例上传腺泡状软组织肉瘤
并不罕见的"罕见病"——软组织肿瘤
更多推荐
皮肤软组织纤维瘤图片
皮肤软组织感染图片
皮肤肿瘤的图片
皮肤软组织坏死照片
皮下软组织坏死图片
皮肤肿瘤早期症状图片
皮肤软纤维瘤图片
软组织发炎肿胀图片
皮肤瘤有哪几种图片
皮肤软组织感染
皮肤肿瘤
皮肤纤维瘤图片
轻微皮肤坏死图片
皮肤癌头皮表现图片
皮肤坏死早期图片
软组织感染的症状图片
皮肤血管瘤的症状图片
皮肤良性肿瘤
皮肤癌症状图片
皮肤肿瘤身体
皮肤发炎红肿图片
各种皮肤癌图片
皮肤癌图片
肿瘤图片
肿瘤的图片
良性肿瘤图片
肿瘤长什么样图片
肿瘤图片真实
肿瘤图片外观
锁骨肿瘤早期症状图片