首页
伤感说说
动漫配图
心情说说
抖音文案
伤感图片
伤感说说:
伤感的句子说说心情
空间说说
心情说说
爱情说说
女生伤感说说
人生感悟
心情不好的说说
说说带图片
关于生活的说说
说说心情短语
qq空间说说带图片
个性说说
励志名言
一句话经典语录
感悟人生的经典句子
短句吧
情感故事
抖音文案
伤感图片:
伤感图片带字
非主流伤感图片
唯美伤感图片
女生伤感图片
唯美意境图片
悲伤的图片
唯美意境伤感图片
只有字的伤感图片
说说图片
伤心的图片
美甲图片
图片大全
情感图片
微信头像男
动态壁纸
动漫配图
伤感图片
首页
>
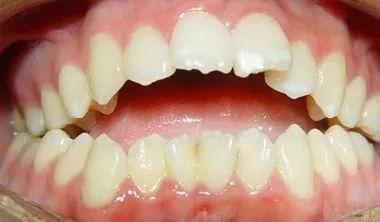
前牙开合
前牙开合,后牙反颌
比如,前牙开合.
开合牙
牙齿矫正田亚 青岛大学 口腔临床医学硕士 姑娘牙列拥挤伴前牙开合
什么是前牙开合,先来看图, 高能预警!
前牙反合(下颌牙齿相对突出),前牙开合(前牙垂直方向有缝隙),深覆合
更多推荐
后牙反颌
前牙开合图片
前牙深覆合
前牙深覆盖
牙齿开合图片
前牙开合的危害及图片
开合门
开合机构
开合装置
牙齿开合
开合屏
开合大屏
自动开合门
开合屋顶
开合螺母
开合帘
活动开合门
电动开合门
开合门图片
旋转开合机构
同步开合机构
开合机构动图
开合LED屏
机械开合机构图片
车床开合螺母
轨道式自动开合屋顶
车床开合螺母结构图