首页
伤感说说
动漫配图
心情说说
抖音文案
伤感图片
伤感说说:
伤感的句子说说心情
空间说说
心情说说
爱情说说
女生伤感说说
人生感悟
心情不好的说说
说说带图片
关于生活的说说
说说心情短语
qq空间说说带图片
个性说说
励志名言
一句话经典语录
感悟人生的经典句子
短句吧
情感故事
抖音文案
伤感图片:
伤感图片带字
非主流伤感图片
唯美伤感图片
女生伤感图片
唯美意境图片
悲伤的图片
唯美意境伤感图片
只有字的伤感图片
说说图片
伤心的图片
美甲图片
图片大全
情感图片
微信头像男
动态壁纸
动漫配图
伤感图片
首页
>
镜下血细胞形态图片
镜下血细胞形态图片,血涂片细胞形态图片
修改血细胞形态特征及常见血液病的血液学特征ppt
高倍镜下细胞形态,以红细胞为主,红细胞大小不一,可见皱缩红细胞.
2015年第2次血细胞形态学检查室间质量评价.
血细胞形态图片
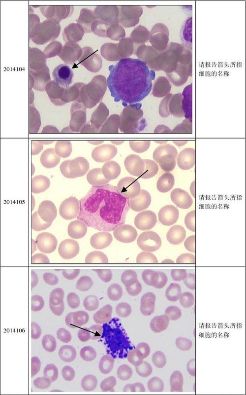
2014年第1次血细胞形态学检查室间质量评价
更多推荐
血涂片细胞形态图片
血细胞形态分析图片
显微镜下的血细胞图片
血细胞形态图
血细胞形态图谱
血细胞示意图图片
显微镜下白细胞图片
血细胞图片分析图解
血细胞形态图谱质控
血细胞图片
正常的血细胞图片
血细胞形态
血细胞形态学诊断图谱
正常血细胞形态学图谱
血液中各种细胞图片
白细胞图片显微镜
显微镜下的血细胞
外周血细胞形态
骨髓细胞形态图谱
血细胞形态ppt
显微镜人血细胞结构图
五种白细胞形态图分辨
血细胞分类图
血细胞图片手绘
血细胞示意图
血细胞图谱
显微镜下看血细胞骗局
骨髓细胞形态学图谱
血细胞结构图
细胞图片正常