首页
伤感说说
动漫配图
心情说说
抖音文案
伤感图片
伤感说说:
伤感的句子说说心情
空间说说
心情说说
爱情说说
女生伤感说说
人生感悟
心情不好的说说
说说带图片
关于生活的说说
说说心情短语
qq空间说说带图片
个性说说
励志名言
一句话经典语录
感悟人生的经典句子
短句吧
情感故事
抖音文案
伤感图片:
伤感图片带字
非主流伤感图片
唯美伤感图片
女生伤感图片
唯美意境图片
悲伤的图片
唯美意境伤感图片
只有字的伤感图片
说说图片
伤心的图片
美甲图片
图片大全
情感图片
微信头像男
动态壁纸
动漫配图
伤感图片
首页
>
正常满口牙图片
正常满口牙图片,满口牙图片
原创孩子满嘴"小黑牙",与经常吃糖无关,多半是父母无知造成的
有年轻人满口假牙的吗?我才21岁就一口坏牙很绝望,要抑郁了
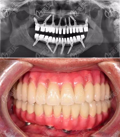
看,上海雅悦齿科刘定斌院长穿颧穿翼全口种植牙价格和
长沙六旬老太天天刷牙还是满口"烂牙",戴上假牙后频频
7岁男童满嘴烂牙,替牙期新长的牙还不是正常的牙,我该
更多推荐
满口牙图片
满口假牙图片
满口金牙齿图片
镶满口牙图片
美牙图片高清图片
满口黄牙恶心图片
最好的满口假牙图片
牙图片卡通图片
满口无牙老人的图片
老年人镶满口牙图片
全口种植牙图片
牙图片大全图
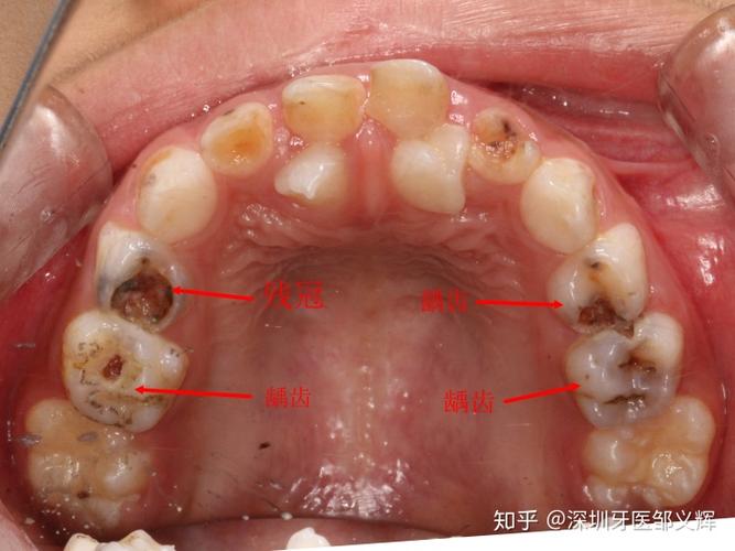
宝宝门牙烂剩牙根图片
牙图片
满口牙
美牙图片
满口假牙
婴儿快出牙时牙龈图片
婴儿出牙前的牙包图片
活动牙图片
满口黄牙
满口牙套
婴儿快出牙鼓牙包图片
上下假牙图片大全
牙仙子的图片
牙擦苏图片
宝宝即将出牙图片
牙神经图片
满口牙种植
满口金牙