首页
伤感说说
动漫配图
心情说说
抖音文案
伤感图片
伤感说说:
伤感的句子说说心情
空间说说
心情说说
爱情说说
女生伤感说说
人生感悟
心情不好的说说
说说带图片
关于生活的说说
说说心情短语
qq空间说说带图片
个性说说
励志名言
一句话经典语录
感悟人生的经典句子
短句吧
情感故事
抖音文案
伤感图片:
伤感图片带字
非主流伤感图片
唯美伤感图片
女生伤感图片
唯美意境图片
悲伤的图片
唯美意境伤感图片
只有字的伤感图片
说说图片
伤心的图片
美甲图片
图片大全
情感图片
微信头像男
动态壁纸
动漫配图
伤感图片
首页
>
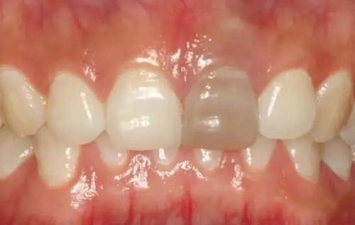
牙震荡
牙震荡,牙折断
根据牙主要损伤的部位,可将牙外伤分为牙震荡,牙折,牙脱位几种类型.
如果没有明显疼痛,可以先观察,暂不处理,注意事项和牙震荡是一样的
出现牙震荡情况,应及时就医,1~2
牙震荡是什么鬼,看完本文你便知
第一节 牙齿震荡 concussion 牙周损伤 牙髓损伤 牙体损伤
更多推荐
牙折断
牙脱出
牙周膜
牙脱位
牙折
牙震荡图片
震荡
震荡带
震荡器
震荡棒
震荡线
震荡机
震荡图
上下震荡
牙外伤
震荡电路
横盘震荡
震荡下跌
市场震荡
震荡行情
股市震荡
震荡效应
涡旋震荡器
涂料震荡机
LC震荡电路
震荡效应豆瓣