首页
伤感说说
动漫配图
心情说说
抖音文案
伤感图片
伤感说说:
伤感的句子说说心情
空间说说
心情说说
爱情说说
女生伤感说说
人生感悟
心情不好的说说
说说带图片
关于生活的说说
说说心情短语
qq空间说说带图片
个性说说
励志名言
一句话经典语录
感悟人生的经典句子
短句吧
情感故事
抖音文案
伤感图片:
伤感图片带字
非主流伤感图片
唯美伤感图片
女生伤感图片
唯美意境图片
悲伤的图片
唯美意境伤感图片
只有字的伤感图片
说说图片
伤心的图片
美甲图片
图片大全
情感图片
微信头像男
动态壁纸
动漫配图
伤感图片
首页
>
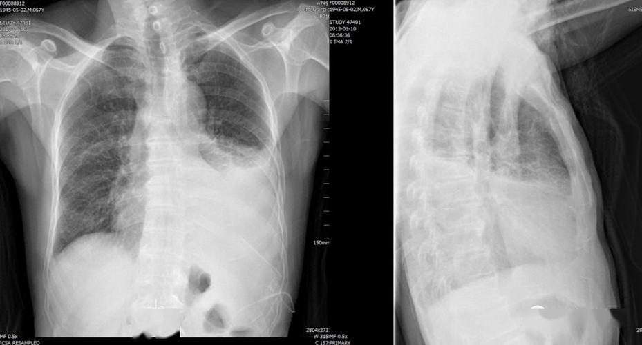
肺不张影像图片
肺不张影像图片,肺不张影像
肺不张的影像学
供临床医学大专医学影像诊断用 2,肺不张 ——支气管完全阻塞时,气体
肺不张:影像基本思路
肺不张:影像基本思路
肺不张影像表现
更多推荐
肺不张影像
肺不张图片
肺不张x线图片
肺不张影像学表现图片
肺不张ct图片
肺不张影像学
肺癌影像图片
肺纤维化图片影像
肺癌影像图片早期
肺不张影像学表现
肺癌影像图片晚期
肺不张x线表现图片
肺不张示意图
肺不张ct表现图片
盘状肺不张ct图片
肺不张ct经典图片
肺不张胸片
正常胸片影像图片
肺不张胸片表现
正常肺和肺癌图片
右肺中叶肺不张
肝癌影像图片
肺纤维化和正常肺图片
肺不张
肺不张x线
肺不张x线表现
盘状肺不张
肺不张ct
影像图片
肺不张ct表现