首页
伤感说说
动漫配图
心情说说
抖音文案
伤感图片
伤感说说:
伤感的句子说说心情
空间说说
心情说说
爱情说说
女生伤感说说
人生感悟
心情不好的说说
说说带图片
关于生活的说说
说说心情短语
qq空间说说带图片
个性说说
励志名言
一句话经典语录
感悟人生的经典句子
短句吧
情感故事
抖音文案
伤感图片:
伤感图片带字
非主流伤感图片
唯美伤感图片
女生伤感图片
唯美意境图片
悲伤的图片
唯美意境伤感图片
只有字的伤感图片
说说图片
伤心的图片
美甲图片
图片大全
情感图片
微信头像男
动态壁纸
动漫配图
伤感图片
首页
>
牙髓炎x光片
牙髓炎x光片,牙髓炎会自愈吗
【教你如何通过x光片了解自己的牙周情况】_牙周炎_牙齿保护_口腔
【教你如何通过x光片了解自己的牙周情况】_牙周炎_牙齿保护_口腔
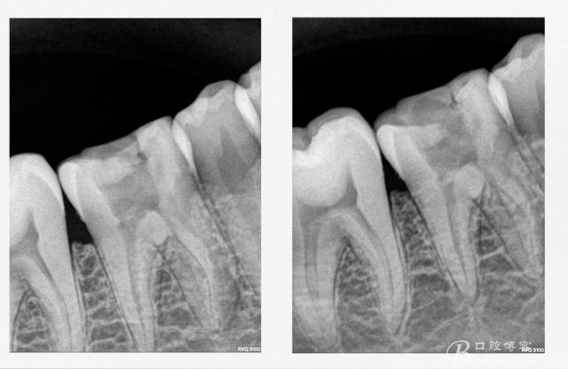
17远中邻面深龋,牙髓炎发作,本来想一次根充的结果出了意外
术前x线检查(全景片及局部小片,了解患牙基本情况)患者 男 30岁,右下
典型的牙髓炎
更多推荐
牙髓炎会自愈吗
牙髓炎不治的后果
牙髓炎片子
牙髓炎图片开髓
牙髓炎图片全景牙图
牙髓炎图片
牙髓炎全瓷牙
牙髓炎图片症状
牙髓炎早期图片
牙髓炎确诊
牙髓炎
牙髓炎的症状
急性牙髓炎
牙齿X光片
牙髓炎怎么治疗
牙髓炎根管治疗图片
牙髓炎吃什么药
牙髓炎的症状晚期
x光片胸片
牙髓炎的症状早期
x光片图片
牙髓炎的治疗步骤图
x光片
x光片正常
盆腔x光片
x光片正常人
x光片手腕
x光片女
x光片全身
心脏x光片