首页
伤感说说
动漫配图
心情说说
抖音文案
伤感图片
伤感说说:
伤感的句子说说心情
空间说说
心情说说
爱情说说
女生伤感说说
人生感悟
心情不好的说说
说说带图片
关于生活的说说
说说心情短语
qq空间说说带图片
个性说说
励志名言
一句话经典语录
感悟人生的经典句子
短句吧
情感故事
抖音文案
伤感图片:
伤感图片带字
非主流伤感图片
唯美伤感图片
女生伤感图片
唯美意境图片
悲伤的图片
唯美意境伤感图片
只有字的伤感图片
说说图片
伤心的图片
美甲图片
图片大全
情感图片
微信头像男
动态壁纸
动漫配图
伤感图片
首页
>
烤瓷牙8年黑线图片
烤瓷牙8年黑线图片,全瓷牙和烤瓷牙图片
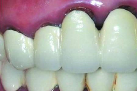
镍铬合金烤瓷牙这牙龈黑线确实有点不好看呢▼
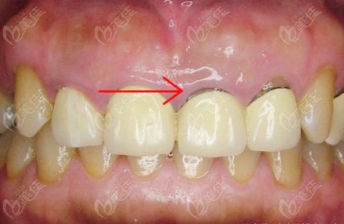
医生,医生怎么我的烤瓷牙上有个黑线,怎么办.
牙齿有黑线要做什么修复
2,全瓷牙不像烤瓷牙那样会对邻牙有磨损.3,全瓷牙没有牙龈"黑线"问题.
劣质烤瓷冠导致牙龈黑线
更多推荐
全瓷牙和烤瓷牙图片
烤瓷牙图片门牙
烤瓷牙图片
烤瓷牙和全瓷牙区别
300元1颗的烤瓷牙图片
烤瓷牙价格表图
烤瓷牙的寿命是几年
牙齿黑线
烤瓷牙缝隙
烤瓷牙
烤瓷牙前后对比
烤瓷牙真人
镍铬烤瓷牙
金属烤瓷牙
烤瓷牙价格表
纯钛烤瓷牙
烤瓷牙价目表普通
二氧化锆烤瓷牙
烤瓷牙宣传画
明星烤瓷牙
何炅烤瓷牙
迪丽热巴满口烤瓷牙
黑线图片
一条黑线图片
甲黑线的图片
指甲上有黑线图片
指甲黑线图片
指甲黑线癌症前兆图片
指甲上有细小黑线图片
甲黑线