首页
伤感说说
动漫配图
心情说说
抖音文案
伤感图片
伤感说说:
伤感的句子说说心情
空间说说
心情说说
爱情说说
女生伤感说说
人生感悟
心情不好的说说
说说带图片
关于生活的说说
说说心情短语
qq空间说说带图片
个性说说
励志名言
一句话经典语录
感悟人生的经典句子
短句吧
情感故事
抖音文案
伤感图片:
伤感图片带字
非主流伤感图片
唯美伤感图片
女生伤感图片
唯美意境图片
悲伤的图片
唯美意境伤感图片
只有字的伤感图片
说说图片
伤心的图片
美甲图片
图片大全
情感图片
微信头像男
动态壁纸
动漫配图
伤感图片
首页
>
种植牙前后效果图
种植牙前后效果图,种植牙示意图
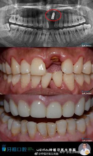
单颗种植牙修复前后的效果图
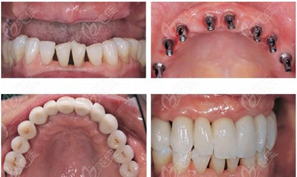
沈阳欢乐口腔种植牙前后效果图
70岁老人全口数字化即刻种植前后对比图▼
all-on-6种植牙前后照
长沙种植牙
更多推荐
种植牙示意图
全口种植牙效果图
种植牙后牙龈图片
种植牙修复后效果图
种植牙前后对比照片
种植牙成功图片
种植牙图片效果图
种植牙效果图
种植牙效果图片大全
种植牙图片大全图
四颗门牙种植牙图片
种植牙缝合后图片
种植牙图片
种植牙价格表图
半口种植牙图
种植牙图解
种植牙结构图
人工种植牙图片
口腔种植牙图片
种植牙图解步骤
种植牙图片创意
种植牙图片卡通图片
种植牙宣传图片大全
种植牙图片海报
种植牙
全口种植牙过程图片
门牙种植成功图片
种植牙照片
种植牙过程
种植牙图片漫画