首页
伤感说说
动漫配图
心情说说
抖音文案
伤感图片
伤感说说:
伤感的句子说说心情
空间说说
心情说说
爱情说说
女生伤感说说
人生感悟
心情不好的说说
说说带图片
关于生活的说说
说说心情短语
qq空间说说带图片
个性说说
励志名言
一句话经典语录
感悟人生的经典句子
短句吧
情感故事
抖音文案
伤感图片:
伤感图片带字
非主流伤感图片
唯美伤感图片
女生伤感图片
唯美意境图片
悲伤的图片
唯美意境伤感图片
只有字的伤感图片
说说图片
伤心的图片
美甲图片
图片大全
情感图片
微信头像男
动态壁纸
动漫配图
伤感图片
首页
>
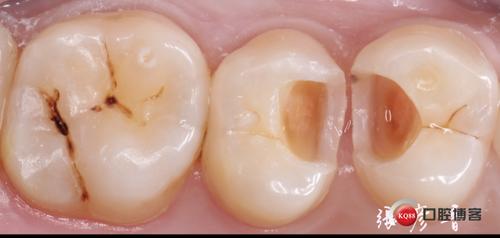
一类洞二类洞三类洞
一类洞二类洞三类洞,三类洞型
两例二类洞瓷嵌体修复
窝洞制备
口腔二类洞制备_口腔_口腔执业医师考试助理医师考试
单色4倍大窝洞置备模型
二类洞的制备ppt课件
更多推荐
三类洞型
一类洞二类
四类洞
二类洞
二类洞方法
一类洞
三类洞
二类洞图解
一类洞到五类洞的图片
二类洞画图
二类洞充填
二类洞的图片
牙齿三类洞
二类洞的制备
一类字和二类字图
一类洞制备
一类
一类卡二类银行卡区别
二类洞制备图解
二类洞的预备标准图解
口腔二类洞解释图
一类卡和二类卡的图片
二类疫苗
二类洞制备要点图解
二类牵引
二类轴承
一类片
三类人员
二类字图片
一类洞的制备图片