首页
伤感说说
动漫配图
心情说说
抖音文案
伤感图片
伤感说说:
伤感的句子说说心情
空间说说
心情说说
爱情说说
女生伤感说说
人生感悟
心情不好的说说
说说带图片
关于生活的说说
说说心情短语
qq空间说说带图片
个性说说
励志名言
一句话经典语录
感悟人生的经典句子
短句吧
情感故事
抖音文案
伤感图片:
伤感图片带字
非主流伤感图片
唯美伤感图片
女生伤感图片
唯美意境图片
悲伤的图片
唯美意境伤感图片
只有字的伤感图片
说说图片
伤心的图片
美甲图片
图片大全
情感图片
微信头像男
动态壁纸
动漫配图
伤感图片
首页
>
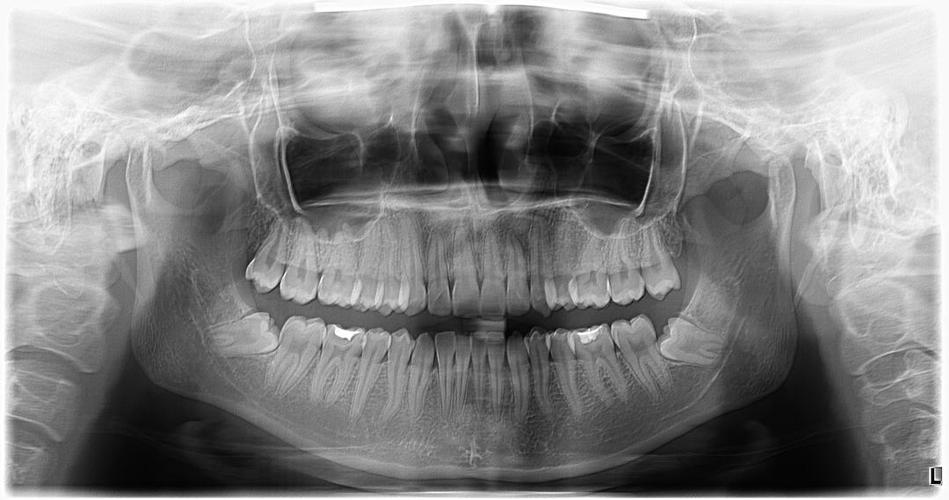
智齿有神经吗
智齿有神经吗,拔智齿疼吗
哭哭,我的智齿太靠近神经管了怎么办
智齿紧贴神经该怎么办上篇
下颌智齿离下牙槽神经管越近,难度也越大.
拔智齿伤神经吗?
阻生智齿该不该拔
更多推荐
拔智齿疼吗
智齿
智齿位置
牙神经图片
阻生智齿
长智齿
拔智齿
智齿长在哪里
智齿盲袋
智齿发炎
阻生智齿图片
智齿拍片
神经
智齿可爱
智齿位置图
智齿图片
智齿搞笑
智齿的位置图片
取出来的牙神经图片
神经真实
正中神经
智齿是什么样子的
智齿x光片
正常的智齿图片
正中神经损伤
臂丛神经
腋神经
胫神经
神经人体
面部神经