首页
伤感说说
动漫配图
心情说说
抖音文案
伤感图片
伤感说说:
伤感的句子说说心情
空间说说
心情说说
爱情说说
女生伤感说说
人生感悟
心情不好的说说
说说带图片
关于生活的说说
说说心情短语
qq空间说说带图片
个性说说
励志名言
一句话经典语录
感悟人生的经典句子
短句吧
情感故事
抖音文案
伤感图片:
伤感图片带字
非主流伤感图片
唯美伤感图片
女生伤感图片
唯美意境图片
悲伤的图片
唯美意境伤感图片
只有字的伤感图片
说说图片
伤心的图片
美甲图片
图片大全
情感图片
微信头像男
动态壁纸
动漫配图
伤感图片
首页
>
腰椎ct图片断层
腰椎ct图片断层,腰椎ct片图片讲解
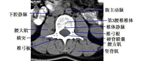
经腰椎椎体下部的横断层面(ct )
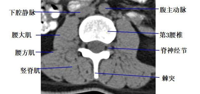
经腰椎椎弓根的横断层面(ct ) 1.
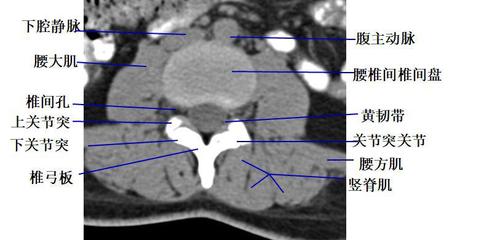
经腰椎椎间盘的横断层面(ct)
脊柱ct,mr断层解剖2
医学院校 本硕连读 解剖学 断层解剖学 ppt 图7-3 经腰椎间盘的
更多推荐
腰椎ct片图片讲解
腰椎椎体ct断层解剖图
腰椎ct图片
正常腰椎ct图片
腰椎ct图片解剖
正常的腰椎片子ct图片
腰椎ct断层解剖图谱
腰部ct片子图片
正常腰椎ct图
正常腰椎间盘ct图片
腰椎断层解剖图解
如何看腰椎ct片图解
腰椎横突骨折ct图片
腰椎ct解剖图解
新手看腰椎ct片图解
腰椎ct横断面解剖图
腰椎峡部裂图片
正常腰椎和不正常图片
腰椎ct
腰椎ct解剖结构图解
正常的腰椎骨图片
正常腰椎间盘ct图解
髋关节ct断层解剖图
腰椎横突图片
颅脑断层解剖图ct
腰椎横突骨折图片
阑尾ct断层解剖图谱
眼眶断层ct解剖图谱
腰椎横断面解剖图
岛叶ct断层解剖图