首页
伤感说说
动漫配图
心情说说
抖音文案
伤感图片
伤感说说:
伤感的句子说说心情
空间说说
心情说说
爱情说说
女生伤感说说
人生感悟
心情不好的说说
说说带图片
关于生活的说说
说说心情短语
qq空间说说带图片
个性说说
励志名言
一句话经典语录
感悟人生的经典句子
短句吧
情感故事
抖音文案
伤感图片:
伤感图片带字
非主流伤感图片
唯美伤感图片
女生伤感图片
唯美意境图片
悲伤的图片
唯美意境伤感图片
只有字的伤感图片
说说图片
伤心的图片
美甲图片
图片大全
情感图片
微信头像男
动态壁纸
动漫配图
伤感图片
首页
>
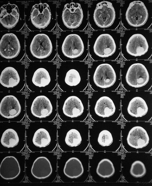
脑瘤早期
脑瘤早期,脑瘤真人
颅内肿瘤我们更精准
图文详解脑膜瘤特点与治疗_脑膜瘤_转移瘤_前庭神经鞘
又一例镰旁脑膜瘤
右侧肢体无力检查后竟是恶性脑肿瘤
右侧肢体无力检查后竟是恶性脑肿瘤
更多推荐
脑瘤真人
脑瘤恶性
脑瘤诊断书
脑瘤症状
脑瘤片子
脑瘤晚期
脑瘤开颅手术
良性脑瘤图片
良性脑瘤
脑瘤真实
脑瘤早期什么症状
脑瘤
脑瘤患者
脑瘤ct
脑瘤手术
脑瘤切片
脑瘤晚期图片
脑瘤图片
脑瘤片子照片
各种脑瘤图片
脑瘤确诊证明图片
粉瘤早期图片
脑瘤真人图片
脑瘤图片大全真实
脑瘤检查报告单图片
脑瘤诊断书真实图片
脑瘤检查报告图片大全
淋巴癌的早期症状
舒淇早期
紫癜的早期症状图片