首页
伤感说说
动漫配图
心情说说
抖音文案
伤感图片
伤感说说:
伤感的句子说说心情
空间说说
心情说说
爱情说说
女生伤感说说
人生感悟
心情不好的说说
说说带图片
关于生活的说说
说说心情短语
qq空间说说带图片
个性说说
励志名言
一句话经典语录
感悟人生的经典句子
短句吧
情感故事
抖音文案
伤感图片:
伤感图片带字
非主流伤感图片
唯美伤感图片
女生伤感图片
唯美意境图片
悲伤的图片
唯美意境伤感图片
只有字的伤感图片
说说图片
伤心的图片
美甲图片
图片大全
情感图片
微信头像男
动态壁纸
动漫配图
伤感图片
首页
>
枕骨大孔ct图片
枕骨大孔ct图片,枕骨ct解剖图
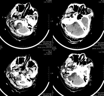
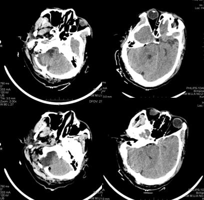
枕骨大孔脑膜瘤1例
枕骨大孔区脑膜瘤病例分享
枕骨大孔脑膜瘤1例
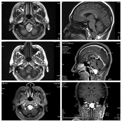
枕骨大孔区(延髓腹侧)脑膜瘤显微全切除一例
颅底ct高清图解 常见骨折部位图示
更多推荐
枕骨ct解剖图
枕骨大孔ct
枕骨大孔在哪个位置图
枕骨大孔位置图片
枕骨大孔图片
枕骨大孔解剖图
枕骨大孔骨折
枕骨骨瘤图片
枕骨大孔侧面图
枕骨大孔的位置图
人的枕骨大孔示意图
枕骨图片
枕骨大孔疝位置图
枕骨大孔矢状位解剖图
枕骨隆突图片
枕骨大孔矢状位
枕骨大孔的位置图像
枕骨粗隆位置图片
枕骨大孔
枕骨大孔的位置
枕骨大孔解剖
枕骨隆突图片突出
正常肺ct片图片图解
枕骨大孔位于
枕骨结节的位置图片
蛙的枕骨大孔
玉枕骨凸起图片
枕骨大孔区解剖结构图
ct片子图片
后脑勺枕骨突出图片