首页
伤感说说
动漫配图
心情说说
抖音文案
伤感图片
伤感说说:
伤感的句子说说心情
空间说说
心情说说
爱情说说
女生伤感说说
人生感悟
心情不好的说说
说说带图片
关于生活的说说
说说心情短语
qq空间说说带图片
个性说说
励志名言
一句话经典语录
感悟人生的经典句子
短句吧
情感故事
抖音文案
伤感图片:
伤感图片带字
非主流伤感图片
唯美伤感图片
女生伤感图片
唯美意境图片
悲伤的图片
唯美意境伤感图片
只有字的伤感图片
说说图片
伤心的图片
美甲图片
图片大全
情感图片
微信头像男
动态壁纸
动漫配图
伤感图片
首页
>
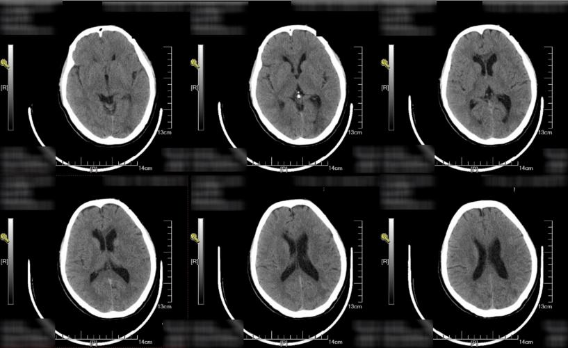
正常脑ct图片大全头颅
正常脑ct图片大全头颅,正常头颅ct图片
头颅ct提示多发腔隙性脑梗死.
图1术前头颅ct 图2术后复查头颅ct
影像医生必须掌握的头颅ct解剖与常见出血梗死判读
头颅ct如何预判超早期脑梗死?
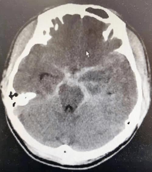
头颅ct示蛛网膜下腔出血
更多推荐
正常头颅ct图片
正常脑ct图片
头颅ct图片
正常头颅ct解剖图
正常头颅ct解剖图ppt
正常肺ct片图片图解
正常头颅核磁图解
头颅ct图解
头颅CT正常
头颅ct解剖图
头颅ct怎么看图解
ct片子图片
正常人的肺部ct图片
ct图片全身
ct图片胸片
头颅CT片子
头颅ct解读
割下来的头颅图片
头颅ct解剖层次结构图
正常健康肺的ct图片
ct图片
头颅CT解剖图谱
头颅CT断层解剖图
头颅骨图片
蛛网膜下腔出血ct图片
头颅CT
李莲英头颅图片
正常肺部ct高清图
头颅ct断层解剖讲解
头颅mri