首页
伤感说说
动漫配图
心情说说
抖音文案
伤感图片
伤感说说:
伤感的句子说说心情
空间说说
心情说说
爱情说说
女生伤感说说
人生感悟
心情不好的说说
说说带图片
关于生活的说说
说说心情短语
qq空间说说带图片
个性说说
励志名言
一句话经典语录
感悟人生的经典句子
短句吧
情感故事
抖音文案
伤感图片:
伤感图片带字
非主流伤感图片
唯美伤感图片
女生伤感图片
唯美意境图片
悲伤的图片
唯美意境伤感图片
只有字的伤感图片
说说图片
伤心的图片
美甲图片
图片大全
情感图片
微信头像男
动态壁纸
动漫配图
伤感图片
首页
>
肝囊肿ct图片怎么看
肝囊肿ct图片怎么看,肝囊肿ct
肝囊肿-腹部ct诊断-医学
中医院外科为80岁患者成功实施经腹腔镜胆囊切除术 巨大肝囊肿开窗
大肝囊肿无需传统手术 ——彩超下超微创20分钟解病痛
假如ct或者磁共振报告肝脏脓肿,肝囊肿,肝癌,我就用超声去找,多看几
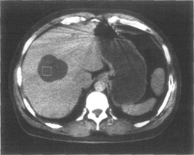
ct上腹部平扫可见肝囊肿
更多推荐
肝囊肿ct
肝囊肿ct图片
正常肝脏ct
肝癌诊断书图片
正常肝脏和肝癌ct图片
肝囊肿ct影像表现图片
肝囊肿ct图片报告
肝囊肿ct图片影像
多发性肝囊肿ct图片
肺ct片子怎么看图片
肺ct图片怎么看图解
脑梗ct图片怎么看
肺的ct图片怎么看
肝癌ct片图片图解
肝囊肿图片彩超
肝脓肿ct图片
肝囊肿图片
脑ct图片怎么看
肝囊肿真实图片
肝囊肿图片高清
肝囊肿影像学图片
肺部结节ct图片怎么看
脑ct图片怎么看讲解
肝癌ct图片
肝癌ct图片早期
肝囊肿怎么治疗
肝囊肿是怎么回事
腰间盘ct图片怎么看
正常肺ct片图片图解
ct怎么看图解肺部