首页
伤感说说
动漫配图
心情说说
抖音文案
伤感图片
伤感说说:
伤感的句子说说心情
空间说说
心情说说
爱情说说
女生伤感说说
人生感悟
心情不好的说说
说说带图片
关于生活的说说
说说心情短语
qq空间说说带图片
个性说说
励志名言
一句话经典语录
感悟人生的经典句子
短句吧
情感故事
抖音文案
伤感图片:
伤感图片带字
非主流伤感图片
唯美伤感图片
女生伤感图片
唯美意境图片
悲伤的图片
唯美意境伤感图片
只有字的伤感图片
说说图片
伤心的图片
美甲图片
图片大全
情感图片
微信头像男
动态壁纸
动漫配图
伤感图片
首页
>
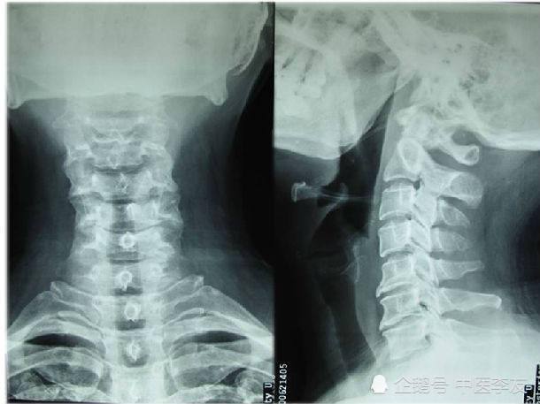
颈椎骨质增生
颈椎骨质增生,颈椎骨质增生x光图片
颈椎骨质增生,骨刺搭桥.
术前dr 颈椎曲度消失,反弓,骨质增生,退变严重.
单纯拍x线片见到颈椎肥大或骨质增生,而没有其他症状,那还不算颈椎病
颈椎痛,拍片显示骨质增生,颈椎有轻微的骨质增生怎么办
是指颈椎间盘退行性变,颈椎肥厚增生以及颈部损伤等引起颈椎骨质增生
更多推荐
颈椎骨质增生x光图片
颈椎间隙变窄
项韧带钙化
颈髓
颈椎骨质增生x光片
项韧带钙化是什么意思
颈椎骨质增生的图片
腰椎骨质增生
椎动脉型颈椎病
颈椎骨质增生的症状
颈椎枕头正确图片
正常颈椎x光片
颈椎骨图片结构图
颈椎富贵包图片
颈椎c5c6位置图片
颈椎骨骼图
颈椎骨质增生怎么治
颈椎骨质增生影像图
颈椎病睡姿
颈部肌肉肿胀变硬
颈椎骨突出
颈椎病手术
颈椎富贵包
颈椎骨图
颈椎病骨质增生图片
颈椎椎体边缘骨质增生
颈椎骨质增生ct图片
颈椎失稳
颈椎间盘变性
颈椎骨质增生病历模板