首页
伤感说说
动漫配图
心情说说
抖音文案
伤感图片
伤感说说:
伤感的句子说说心情
空间说说
心情说说
爱情说说
女生伤感说说
人生感悟
心情不好的说说
说说带图片
关于生活的说说
说说心情短语
qq空间说说带图片
个性说说
励志名言
一句话经典语录
感悟人生的经典句子
短句吧
情感故事
抖音文案
伤感图片:
伤感图片带字
非主流伤感图片
唯美伤感图片
女生伤感图片
唯美意境图片
悲伤的图片
唯美意境伤感图片
只有字的伤感图片
说说图片
伤心的图片
美甲图片
图片大全
情感图片
微信头像男
动态壁纸
动漫配图
伤感图片
首页
>
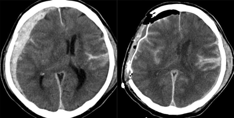
急性硬膜下血肿
急性硬膜下血肿,急性硬膜外血肿
急性硬膜下血肿
临床医学 如何分析脑ct(同济大学)ppt 硬膜下血肿 上图:急性期 左图
硬膜外血肿与急性硬膜下血肿在ct上的区别
急诊头部ct扫描显示,右侧急性硬膜下血肿,脑挫伤和蛛网膜下腔出血
这一睡差点就是一世——谈急性硬膜外血肿-健康频道-手机搜狐白小军
更多推荐
急性硬膜外血肿
慢性硬膜下血肿
硬膜外血肿ct图片
硬膜外和硬膜下血肿图
硬膜下血肿
硬膜下血肿CT
硬膜下血肿卡通
硬膜下血肿图片
硬膜下血肿解剖
急性硬膜下血肿ct图片
硬膜外血肿
硬脑膜下血肿
硬膜下血肿ct表现
创伤性硬脑膜下血肿
硬膜下出血
硬膜下血肿解剖图
硬膜下血肿ct图片
帽状腱膜下血肿
硬膜外与硬膜下鉴别表
骨膜下血肿
硬膜外与硬膜下区别图
硬膜下血肿ct表现图片
硬膜外出血
硬膜外和硬膜下ct区别
硬膜下积液
硬膜下
硬膜下腔
硬膜蛛网膜
血肿
头皮下血肿