首页
伤感说说
动漫配图
心情说说
抖音文案
伤感图片
伤感说说:
伤感的句子说说心情
空间说说
心情说说
爱情说说
女生伤感说说
人生感悟
心情不好的说说
说说带图片
关于生活的说说
说说心情短语
qq空间说说带图片
个性说说
励志名言
一句话经典语录
感悟人生的经典句子
短句吧
情感故事
抖音文案
伤感图片:
伤感图片带字
非主流伤感图片
唯美伤感图片
女生伤感图片
唯美意境图片
悲伤的图片
唯美意境伤感图片
只有字的伤感图片
说说图片
伤心的图片
美甲图片
图片大全
情感图片
微信头像男
动态壁纸
动漫配图
伤感图片
首页
>
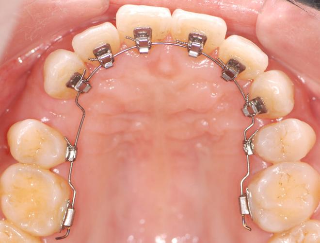
舌侧矫治器
舌侧矫治器,舌侧矫正
舌侧正畸
舌侧隐形矫治技术是将托槽全部安装于牙齿的舌侧面进行正畸治疗,外观
原创瑞通生物完成b轮融资将数字化口腔3d打印技术带入舌侧矫正
舌侧矫正,顾名思义,是一种将矫治器粘接于牙齿舌侧上进行牙齿矫正治疗
哪种牙齿矫正器效果比较好在整牙前想知道各种矫治器的种类和价格
更多推荐
舌侧矫正
舌侧矫治器图片
舌侧
舌侧缘
舌侧矫正图片
舌侧窝
舌侧隐形矫正
舌侧骨板
畸形舌侧窝
舌侧缘白斑图
舌侧骨板位置
舌侧托槽
舌侧缘在哪里图片
舌侧牙套
人正常舌侧缘图片
舌头侧面疼
舌头侧面图片
王嘉尔舌侧牙套
舌侧牙套多少钱
舌侧牙套大概多少费用