首页
伤感说说
动漫配图
心情说说
抖音文案
伤感图片
伤感说说:
伤感的句子说说心情
空间说说
心情说说
爱情说说
女生伤感说说
人生感悟
心情不好的说说
说说带图片
关于生活的说说
说说心情短语
qq空间说说带图片
个性说说
励志名言
一句话经典语录
感悟人生的经典句子
短句吧
情感故事
抖音文案
伤感图片:
伤感图片带字
非主流伤感图片
唯美伤感图片
女生伤感图片
唯美意境图片
悲伤的图片
唯美意境伤感图片
只有字的伤感图片
说说图片
伤心的图片
美甲图片
图片大全
情感图片
微信头像男
动态壁纸
动漫配图
伤感图片
首页
>
门牙装了活动牙的图片
门牙装了活动牙的图片,门牙活动义齿图片
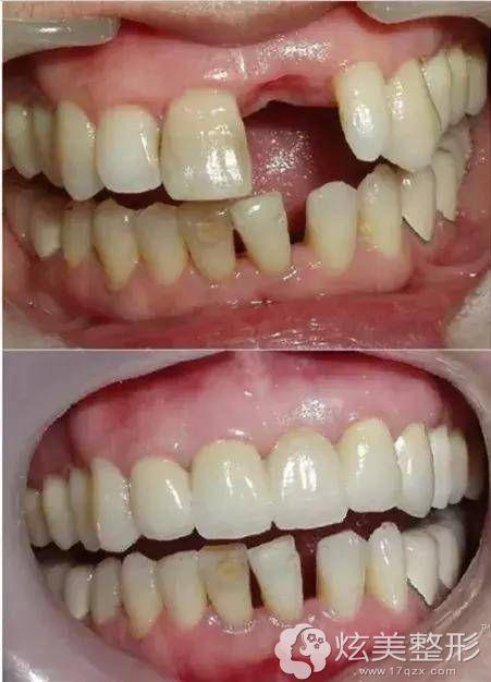
我上门牙连缺三颗在长沙铂菲特口腔做完登腾种植牙后吃啥都香了
门牙面目全非,后期大部分都需要修复
门牙磕断了必须根管治疗吗?她还做了瓷贴面呢,超赞
左一的门牙是死髓牙,所以颜色有点黑
长沙美奥良心牙医公开:门牙种植牙需要多少钱一颗
更多推荐
门牙活动义齿图片
门牙临时假牙图片
门牙做烤瓷牙的图片
临时牙安装效果图
全口假牙图片
门牙拔后临时假牙照片
一颗活动牙怎么装图片
上门牙义齿图片
真人门牙隐形义齿图
门牙六颗活动假牙图片
上门牙活动假牙的图片
四颗门牙隐形义齿图片
门牙做隐形义齿图片
门牙隐形义齿图片
上牙6个假牙图片
活动义齿真人图片
门牙全瓷牙真人图片
门牙拔掉后临时牙图片
门牙戴活动假牙图片
门牙装假牙图片
婴儿出牙前的牙包图片
活动牙图片
美牙图片高清图片
婴儿快出牙时牙龈图片
婴儿快出牙鼓牙包图片
牙图片
牙图片大全图
美牙图片
取出来的牙神经图片
牙图片卡通图片