首页
伤感说说
动漫配图
心情说说
抖音文案
伤感图片
伤感说说:
伤感的句子说说心情
空间说说
心情说说
爱情说说
女生伤感说说
人生感悟
心情不好的说说
说说带图片
关于生活的说说
说说心情短语
qq空间说说带图片
个性说说
励志名言
一句话经典语录
感悟人生的经典句子
短句吧
情感故事
抖音文案
伤感图片:
伤感图片带字
非主流伤感图片
唯美伤感图片
女生伤感图片
唯美意境图片
悲伤的图片
唯美意境伤感图片
只有字的伤感图片
说说图片
伤心的图片
美甲图片
图片大全
情感图片
微信头像男
动态壁纸
动漫配图
伤感图片
首页
>
宝宝牙齿尖尖的图
宝宝牙齿尖尖的图,宝宝长牙冒尖图
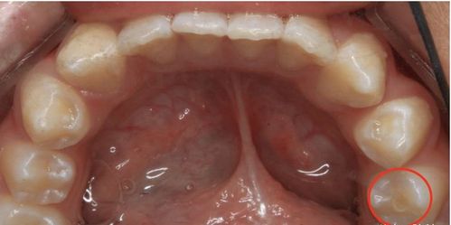
求儿童牙齿畸形中央尖的治疗方案?_百度宝宝知道
紧接着会挨着上下4颗牙齿长出 旁边的乳牙,过了这个阶段后,宝宝的牙齿
宝宝牙齿萌发期,宝妈辅食安排要有招数,牙齿长得好,营养不能少
六岁宝宝牙齿烂光,家长这种"爱"是拿健康做赌注,孩子承受不起
有些细心的妈妈会发现孩子新长的牙齿上有个异常凸起的小尖尖,这就是
更多推荐
宝宝长牙冒尖图
牙齿上长了个小尖图片
婴儿乳牙像锯齿图片
尖牙和虎牙的区别图片
大门牙长成尖的图片
宝宝牙齿图片
宝宝坏牙齿图片
宝宝烂牙齿图片
宝宝长牙齿的顺序图
尖尖的牙齿
宝宝的牙齿钙化的图片
宝宝刚冒出牙尖的图片
动物尖尖的牙齿
宝宝牙齿
宝宝牙齿脱矿图片
宝宝长牙齿顺序图片
宝宝牙齿卡通
正常宝宝的乳牙图片
宝宝长牙图片
宝宝牙齿脱钙
宝宝牙齿有白斑图片
小宝宝长牙顺序图
牙齿图片结构图
牙齿图片大全图
宝宝牙齿钙化
宝宝牙齿发黄腐蚀图片
牙齿图
长尖牙的人图片
宝宝牙齿钙化早期图片
宝宝牙齿钙化轻度图片