首页
伤感说说
动漫配图
心情说说
抖音文案
伤感图片
伤感说说:
伤感的句子说说心情
空间说说
心情说说
爱情说说
女生伤感说说
人生感悟
心情不好的说说
说说带图片
关于生活的说说
说说心情短语
qq空间说说带图片
个性说说
励志名言
一句话经典语录
感悟人生的经典句子
短句吧
情感故事
抖音文案
伤感图片:
伤感图片带字
非主流伤感图片
唯美伤感图片
女生伤感图片
唯美意境图片
悲伤的图片
唯美意境伤感图片
只有字的伤感图片
说说图片
伤心的图片
美甲图片
图片大全
情感图片
微信头像男
动态壁纸
动漫配图
伤感图片
首页
>
心脏超声心动图
心脏超声心动图,超声心动图正常值范围
原创心脏不好,这项检查多半跑不了!戳文,了解最全面的超声心动检查
心脏解剖及超声心动图检查方法 心功能测定.ppt
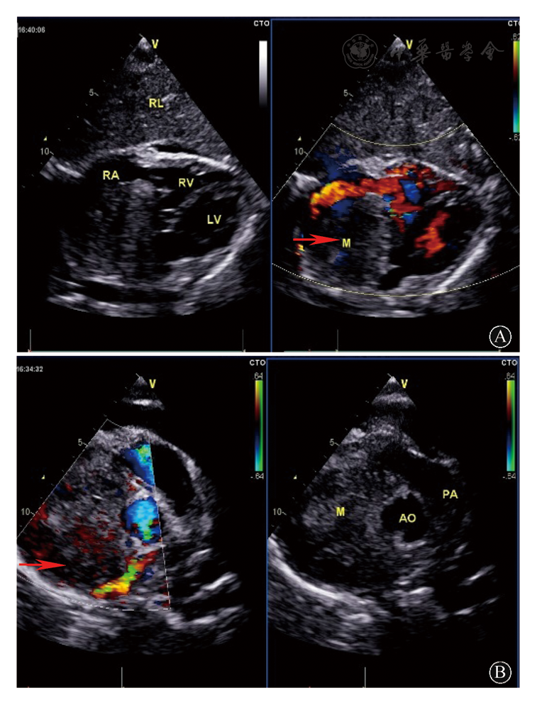
箭头所示为右心房软组织肿块影 患者超声心动图
p>m型超声心动图是采用单声束扫描心脏.
心脏瓣膜病超声诊断
更多推荐
超声心动图正常值范围
超声心动图标准切面
成人超声心动图
超声心动图机
超声心动图图片
超声心动图与心脏彩超
超声心动图
m型超声心动图
超声心动图解读
儿童超声心动图
经胸超声心动图
超声心动图切面
二维超声心动图
超声心动图怎么做
胎儿超声心动图
超声心动图正常值
超声心动图报告单
超声心动图多少钱
超声心动图检查报告
超声心动图正常参考值
小儿超声心动图正常值
心脏示意图
心脏结构图
心脏解剖图
心脏位置图
心脏图片
心脏瓣膜
心脏
心脏搭桥
心脏的位置图片