首页
伤感说说
动漫配图
心情说说
抖音文案
伤感图片
伤感说说:
伤感的句子说说心情
空间说说
心情说说
爱情说说
女生伤感说说
人生感悟
心情不好的说说
说说带图片
关于生活的说说
说说心情短语
qq空间说说带图片
个性说说
励志名言
一句话经典语录
感悟人生的经典句子
短句吧
情感故事
抖音文案
伤感图片:
伤感图片带字
非主流伤感图片
唯美伤感图片
女生伤感图片
唯美意境图片
悲伤的图片
唯美意境伤感图片
只有字的伤感图片
说说图片
伤心的图片
美甲图片
图片大全
情感图片
微信头像男
动态壁纸
动漫配图
伤感图片
首页
>
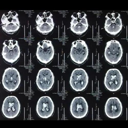
脑出血片子图片解析
脑出血片子图片解析,脑出血检查报告单图片
脑出血,我们一直在努力!
亲身经历家人脑出血看看我是怎么办的
我院外二科用微创碎吸引流术成功救治脑出血并
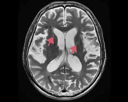
脑出血|征象
患者:巴德尔苏德,男,57岁,右侧颞顶枕叶脑出血,呈昏睡
更多推荐
脑出血检查报告单图片
脑出血部位
脑部ct怎么看图解
脑梗ct
脑出血ct影像表现图片
脑出血ct图片解说图
脑出血片子
脑出血图片
脑出血图片ct
脑出血图片真人
脑出血卡通图片
脑出血康复训练图解
脑出血
脑出血真实
丘脑出血
ct片子图片
脑出血病人
脑出血真人
脑出血ct
脑出血手术
脑出血死亡
脑出血症状及表现
脑出血是怎么引起的
脑出血病因
脑出血开颅手术
高血压脑出血
肺癌片子图
怎么看肺部ct片子图解
核磁共振片子图解