首页
伤感说说
动漫配图
心情说说
抖音文案
伤感图片
伤感说说:
伤感的句子说说心情
空间说说
心情说说
爱情说说
女生伤感说说
人生感悟
心情不好的说说
说说带图片
关于生活的说说
说说心情短语
qq空间说说带图片
个性说说
励志名言
一句话经典语录
感悟人生的经典句子
短句吧
情感故事
抖音文案
伤感图片:
伤感图片带字
非主流伤感图片
唯美伤感图片
女生伤感图片
唯美意境图片
悲伤的图片
唯美意境伤感图片
只有字的伤感图片
说说图片
伤心的图片
美甲图片
图片大全
情感图片
微信头像男
动态壁纸
动漫配图
伤感图片
首页
>
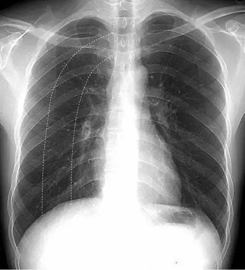
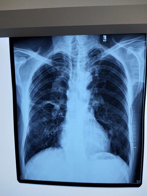
正常胸片子
正常胸片子,真实的胸片
影像解剖入门正常胸片怎么看
胸片:心界恢复正常,肺功能明显改善
四川公务员体检 关于胸片和结晶的问题
影像解剖入门正常胸片怎么看
正常胸片,可以看到几乎对称的两个肺叶.
更多推荐
真实的胸片
正常胸片子女性
读胸片
胸片报告单
片子正常
ct片子图片
片子
小片子
拍片子
沾片子
骨折片子图
ct片子
骨折片子
智齿片子
牙齿片子
颈椎片子
肺癌片子图
正常心电图图片
揪片子
核磁共振片子
b超片子
正常心电图
输卵管造影正常片子
核磁共振片子图解
怎么看肺部ct片子图解
正常舌苔图片
正常血压
正常的BB是什么样的
正常宫颈照片
正常血糖