首页
伤感说说
动漫配图
心情说说
抖音文案
伤感图片
伤感说说:
伤感的句子说说心情
空间说说
心情说说
爱情说说
女生伤感说说
人生感悟
心情不好的说说
说说带图片
关于生活的说说
说说心情短语
qq空间说说带图片
个性说说
励志名言
一句话经典语录
感悟人生的经典句子
短句吧
情感故事
抖音文案
伤感图片:
伤感图片带字
非主流伤感图片
唯美伤感图片
女生伤感图片
唯美意境图片
悲伤的图片
唯美意境伤感图片
只有字的伤感图片
说说图片
伤心的图片
美甲图片
图片大全
情感图片
微信头像男
动态壁纸
动漫配图
伤感图片
首页
>
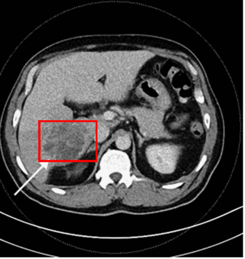
肝脓肿ct图片
肝脓肿ct图片,肝癌ct图片
假如ct或者磁共振报告肝脏脓肿,肝囊肿,肝癌,我就用超声去找,多看几
下图中箭头所指的红框区域,则是早期肝脓肿在 ct 检查中的表现——类
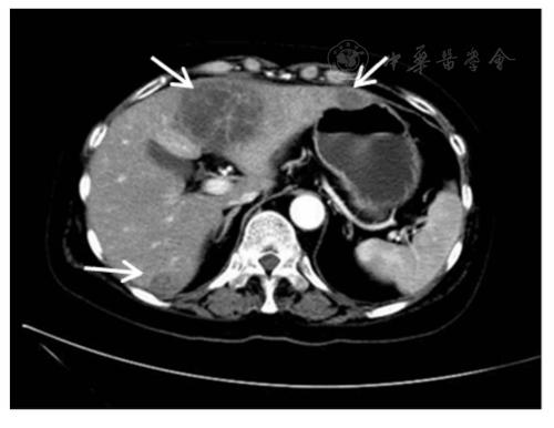
肝脓肿病例影像表现
系统性红斑狼疮合并皮疽诺卡菌性肝脓肿患者肝胆胰脾ct
ct肝脓肿
更多推荐
肝癌ct图片
膀胱结石ct图片
肝ct
肝囊肿最佳治疗方法
肝脓肿图片和肝癌图片
肝脓肿图片高清图片
肝脓肿增强ct表现图
肝脓肿ct表现特点
细菌性肝脓肿图片
肝囊肿ct图片
肝癌ct
细菌性肝脓肿
肝脓肿切片图片
肝癌ct片图片图解
肝脓肿超声图片
肝脓肿图片
肝脓肿镜下图片
肝脓肿ct
肝癌ct图片早期
肝脓肿绘图
肝脓肿切片
正常肺ct片图片图解
肝脓肿手绘图
ct图片胸片
肝脓肿CT
肝脓肿病理切片
肺部ct图片
肺癌ct图片
ct片子图片
肺结核ct图片