首页
伤感说说
动漫配图
心情说说
抖音文案
伤感图片
伤感说说:
伤感的句子说说心情
空间说说
心情说说
爱情说说
女生伤感说说
人生感悟
心情不好的说说
说说带图片
关于生活的说说
说说心情短语
qq空间说说带图片
个性说说
励志名言
一句话经典语录
感悟人生的经典句子
短句吧
情感故事
抖音文案
伤感图片:
伤感图片带字
非主流伤感图片
唯美伤感图片
女生伤感图片
唯美意境图片
悲伤的图片
唯美意境伤感图片
只有字的伤感图片
说说图片
伤心的图片
美甲图片
图片大全
情感图片
微信头像男
动态壁纸
动漫配图
伤感图片
首页
>
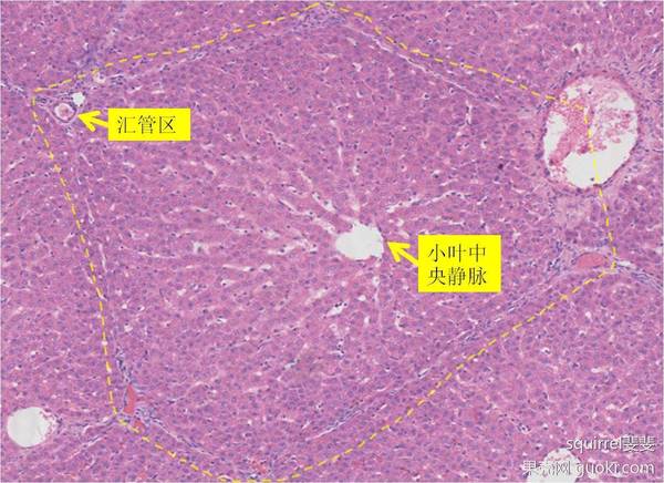
汇管区
汇管区,肝小叶结构图
汇管区
汇管区,这两个结构之间是大量排列成 条状,放射状 的肝细胞(红色的是
汇管区
人的肝脏每个肝小叶间含有3~6个肝门管区,在几个肝小叶之间的区域
如何确定是肝脏炎症活动期
更多推荐
肝小叶结构图
肝血窦
肝脏汇管区图片
肝小叶界板
肝小叶汇管区图
汇管区结构图
肝小叶
肝小叶汇管区结构图
肝汇管区图片的结构
肝汇管区结构
肝小叶及汇管区手绘图
肝小叶汇管区
肝板
小叶间胆管
肝脏汇管区
肝汇管区图片
肝小叶及汇管区图片