首页
伤感说说
动漫配图
心情说说
抖音文案
伤感图片
伤感说说:
伤感的句子说说心情
空间说说
心情说说
爱情说说
女生伤感说说
人生感悟
心情不好的说说
说说带图片
关于生活的说说
说说心情短语
qq空间说说带图片
个性说说
励志名言
一句话经典语录
感悟人生的经典句子
短句吧
情感故事
抖音文案
伤感图片:
伤感图片带字
非主流伤感图片
唯美伤感图片
女生伤感图片
唯美意境图片
悲伤的图片
唯美意境伤感图片
只有字的伤感图片
说说图片
伤心的图片
美甲图片
图片大全
情感图片
微信头像男
动态壁纸
动漫配图
伤感图片
首页
>
补牙洞需要多少钱
补牙洞需要多少钱,补牙多少钱一颗牙
北京的儿童医院补牙一般多少钱这个附带医院介绍的价格表属实不错
牙管家 美国3m纳米树脂补牙多少钱-什么值得买
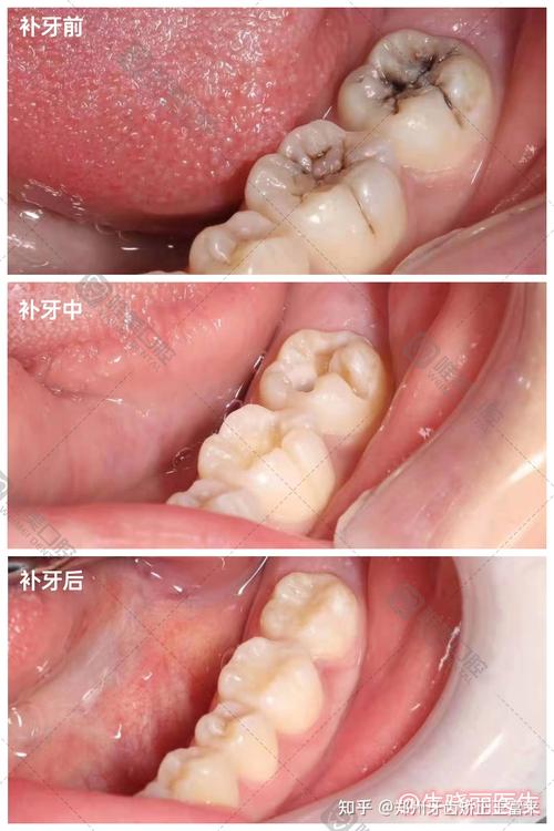
郑州补牙大致需要多少钱
哈尔滨美中口腔堵牙多少钱牙齿龋齿找常亮医生做复合树脂补牙怎么样
补牙一般多少钱一颗_补牙_合金_蛀牙_口腔_牙疼_医疗健康_医疗健康
更多推荐
补牙多少钱一颗牙
楔状缺损补牙多少钱
种牙多少钱一颗啊
洗牙多少钱
补牙洞
后牙补牙
补牙牙套
补牙前后
补牙
补牙过程
补牙对比
补牙价格表
树脂补牙
补牙过程图
补牙工具
补牙材料
补牙图片
补牙过程图解
补牙效果图
补牙材料价格表
儿童补牙价目表
楔状缺损补牙图解
儿童补牙
补牙卡通