首页
伤感说说
动漫配图
心情说说
抖音文案
伤感图片
伤感说说:
伤感的句子说说心情
空间说说
心情说说
爱情说说
女生伤感说说
人生感悟
心情不好的说说
说说带图片
关于生活的说说
说说心情短语
qq空间说说带图片
个性说说
励志名言
一句话经典语录
感悟人生的经典句子
短句吧
情感故事
抖音文案
伤感图片:
伤感图片带字
非主流伤感图片
唯美伤感图片
女生伤感图片
唯美意境图片
悲伤的图片
唯美意境伤感图片
只有字的伤感图片
说说图片
伤心的图片
美甲图片
图片大全
情感图片
微信头像男
动态壁纸
动漫配图
伤感图片
首页
>
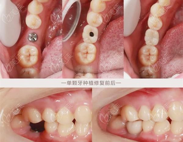
种植牙照片
种植牙照片,种植牙前后
种植牙有什么危害吗?
种植牙有年龄限制嘛
做种植牙选分段好还是整体好须知一体冠和分开的区别
牙周病患者做种植牙失败率很高种牙前要注意这方面
杭州最便宜的种植牙要多少钱一颗尤其是瑞士和德国的种植牙价格
更多推荐
种植牙前后
根管治疗照片
种植牙成功图片
补牙照片
种植牙照片高清图
种植牙图片
种植牙前后对比照片
种植牙
种植牙过程
种植牙牙龈萎缩图片
种植牙图解
种植牙真人
种植牙宣传
口腔种植牙
种植牙手术
老人种植牙
种植牙基台图片
种植牙图片大全图
种植牙的愈合帽照片
种植牙动漫
3D种植牙
种植牙示意图
种植牙图片海报
种植牙卡通图片
种植牙结构图
诺贝尔种植牙
全口种植牙过程图片
种植牙愈合帽
种植牙前后效果图
种植牙宣传图片大全