首页
伤感说说
动漫配图
心情说说
抖音文案
伤感图片
伤感说说:
伤感的句子说说心情
空间说说
心情说说
爱情说说
女生伤感说说
人生感悟
心情不好的说说
说说带图片
关于生活的说说
说说心情短语
qq空间说说带图片
个性说说
励志名言
一句话经典语录
感悟人生的经典句子
短句吧
情感故事
抖音文案
伤感图片:
伤感图片带字
非主流伤感图片
唯美伤感图片
女生伤感图片
唯美意境图片
悲伤的图片
唯美意境伤感图片
只有字的伤感图片
说说图片
伤心的图片
美甲图片
图片大全
情感图片
微信头像男
动态壁纸
动漫配图
伤感图片
首页
>
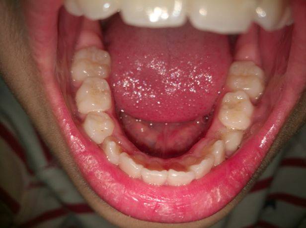
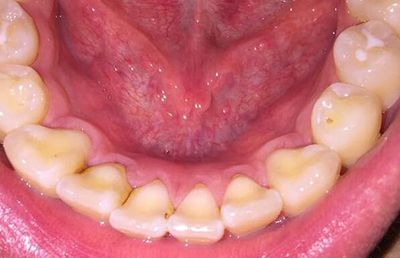
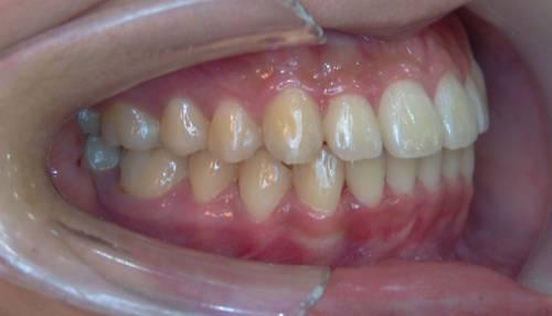
牙齿正常
牙齿正常,牙齿正常排列图片
你真的了解你的牙齿咬合吗?四个小动作,检查出你的牙列是否正常
牙齿背面黑黑的东西到底是什么?
请问什么样的牙齿是正常的,详细描述如下
正常的牙齿位置是怎么样的?
看牙不用再跑断腿,把牙齿照片发过来,方德君在线帮您解决问题!
更多推荐
牙齿正常排列图片
牙齿正常闭合
牙齿正常侧面
牙齿正常颜色
标准的牙齿咬合
牙齿正常的咬合状态
牙齿正常咬合图标准
矫正牙齿
牙齿
正常牙齿咬合图
牙齿贴面
牙齿缺失
儿童牙齿
牙齿结构
牙齿名称
牙齿图片
牙齿模型
换牙齿顺序
牙齿卡通
牙齿结构图
蜗牛的牙齿
标准的牙齿咬合图片
牙齿图片真人
牙齿插画图
牙齿女明星
牙齿美白用舒适达牙膏
牙齿简笔画
换牙齿顺序和年龄图
正常血压
正常白带