首页
伤感说说
动漫配图
心情说说
抖音文案
伤感图片
伤感说说:
伤感的句子说说心情
空间说说
心情说说
爱情说说
女生伤感说说
人生感悟
心情不好的说说
说说带图片
关于生活的说说
说说心情短语
qq空间说说带图片
个性说说
励志名言
一句话经典语录
感悟人生的经典句子
短句吧
情感故事
抖音文案
伤感图片:
伤感图片带字
非主流伤感图片
唯美伤感图片
女生伤感图片
唯美意境图片
悲伤的图片
唯美意境伤感图片
只有字的伤感图片
说说图片
伤心的图片
美甲图片
图片大全
情感图片
微信头像男
动态壁纸
动漫配图
伤感图片
首页
>
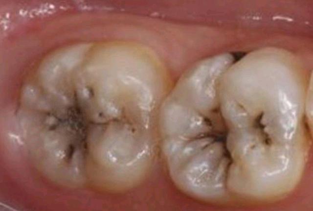
后槽牙牙齿发黑图片
后槽牙牙齿发黑图片,牙齿凹槽上面有黑色
牙齿上的黑线是蛀牙吗
求救前辈们!后槽牙蛀空,填补物脱落,18号才能看上,现在疼到升天.
牙齿上面这种黑色的需要补吗
牙齿表面黑色的点或线段就是窝沟龋啦
发黑的牙齿都是蛀牙吗
更多推荐
牙齿凹槽上面有黑色
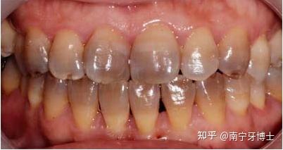
牙齿边缘发黑图片
龋齿色素沉着区别图片
牙齿根部发黑图片
牙齿表面有黑线图片
牙髓坏死牙齿变黑图片
牙齿牙龈边缘烂了图片
最里面的大牙发黑图片
智齿烂了只剩牙根图片
后槽牙牙缝发黑但不疼
牙齿图片
烂牙齿图片
牙齿图片结构图
爆牙齿的图片
坏牙齿图片
标准牙齿图片
保护牙齿图片
牙齿图片真人
牙齿图片可爱
牙齿卡通图片
牙齿图片小精灵
牙齿长息肉图片
28颗牙齿名称图片
牙齿图片ppt
标准的牙齿咬合图片
牙齿图片绘本
牙齿里取出活虫图片
牙齿图片可爱卡通
正常牙齿咬合图
牙齿结构图