首页
伤感说说
动漫配图
心情说说
抖音文案
伤感图片
伤感说说:
伤感的句子说说心情
空间说说
心情说说
爱情说说
女生伤感说说
人生感悟
心情不好的说说
说说带图片
关于生活的说说
说说心情短语
qq空间说说带图片
个性说说
励志名言
一句话经典语录
感悟人生的经典句子
短句吧
情感故事
抖音文案
伤感图片:
伤感图片带字
非主流伤感图片
唯美伤感图片
女生伤感图片
唯美意境图片
悲伤的图片
唯美意境伤感图片
只有字的伤感图片
说说图片
伤心的图片
美甲图片
图片大全
情感图片
微信头像男
动态壁纸
动漫配图
伤感图片
首页
>
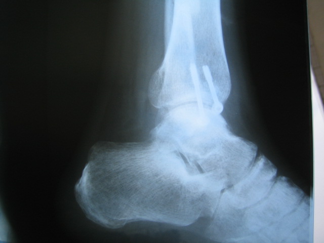
脚踝骨头突出
脚踝骨头突出,脚踝骨
您好今天发现我的脚踝处骨头下面有一块突出的骨头触摸无疼痛
脚踝骨突出是什么原因?平常也不疼,运动什么的也没事
我的脚踝处除了正常凸起有多了一块凸起
踝骨
穿高跟鞋崴到了脚两三个月了,脚踝下面骨头好像突出了了,按着还有点疼
更多推荐
脚踝骨
脚踝骨折
肩胛骨突出
肋骨突出
脚踝撕脱
脚踝是哪里
脚踝
胸骨突出
骨头
耻骨突出
骨头错位
大骨头
脚踝韧带
脚踝扭伤
骨头凸起
人骨头
肩胛骨突出怎么矫正
脚踝肿
啃骨头
骨头胸前
脚踝骨折正确睡姿图
趾骨头图片
肩胛骨突出驼背图片
剑突突出图片
骨头内部
脚踝肿图片
死人骨头
脚踝部位图解
儿童肩胛骨突出图片
脚踝的位置图