首页
伤感说说
动漫配图
心情说说
抖音文案
伤感图片
伤感说说:
伤感的句子说说心情
空间说说
心情说说
爱情说说
女生伤感说说
人生感悟
心情不好的说说
说说带图片
关于生活的说说
说说心情短语
qq空间说说带图片
个性说说
励志名言
一句话经典语录
感悟人生的经典句子
短句吧
情感故事
抖音文案
伤感图片:
伤感图片带字
非主流伤感图片
唯美伤感图片
女生伤感图片
唯美意境图片
悲伤的图片
唯美意境伤感图片
只有字的伤感图片
说说图片
伤心的图片
美甲图片
图片大全
情感图片
微信头像男
动态壁纸
动漫配图
伤感图片
首页
>
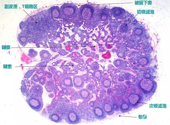
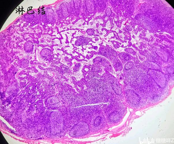
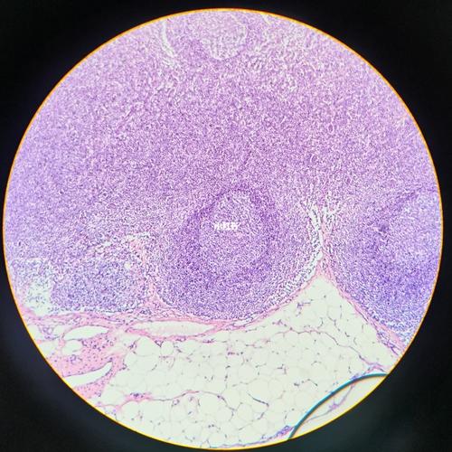
淋巴结组胚
淋巴结组胚,淋巴结组胚图
淋巴结的正常组织学
组胚绘图淋巴结
关于组胚那些分不清的标本对比图
组胚实验红蓝铅笔手绘图
组胚绘图-淋巴结_组织学与胚胎学实验绘图_人文_绘画
更多推荐
淋巴结组胚图
淋巴结组胚示意图
淋巴结正常
淋巴结
淋巴结在哪
淋巴结肿大
颈部淋巴结
淋巴结组胚手绘图
淋巴结全身
腋窝淋巴结五组
淋巴结图片
腋下淋巴结
颈部淋巴结肿大
颈部淋巴结分区
淋巴结肿大图片
腹股沟淋巴结肿大
淋巴结是什么东西
颈部淋巴结位置图片
耳后淋巴结位置图片
淋巴结图片真人
淋巴结炎有什么症状
淋巴结在哪里部位图片
淋巴结是什么样子图片
肾上腺组胚图
小孩后脑勺淋巴结图片