首页
伤感说说
动漫配图
心情说说
抖音文案
伤感图片
伤感说说:
伤感的句子说说心情
空间说说
心情说说
爱情说说
女生伤感说说
人生感悟
心情不好的说说
说说带图片
关于生活的说说
说说心情短语
qq空间说说带图片
个性说说
励志名言
一句话经典语录
感悟人生的经典句子
短句吧
情感故事
抖音文案
伤感图片:
伤感图片带字
非主流伤感图片
唯美伤感图片
女生伤感图片
唯美意境图片
悲伤的图片
唯美意境伤感图片
只有字的伤感图片
说说图片
伤心的图片
美甲图片
图片大全
情感图片
微信头像男
动态壁纸
动漫配图
伤感图片
首页
>
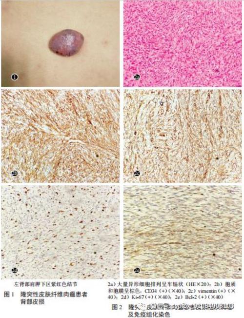
隆突性纤维肉瘤
隆突性纤维肉瘤,恶性纤维肉瘤图片
隆突性皮肤纤维肉瘤是什么?会危及生命吗?
隆突性皮肤纤维肉瘤30例临床分析隆突性皮肤纤维肉瘤医脉通
隆突性皮肤纤维肉瘤
临床少见纤维肿瘤
隆突性皮肤纤维肉瘤是什么?会危及生命吗?
更多推荐
恶性纤维肉瘤图片
隆突性皮肤纤维瘤外观
隆突性皮肤纤维肉瘤
纤维肉瘤早期图片
纤维肉瘤图片
皮肤纤维肉瘤
隆突皮肤纤维肉瘤112例
隆突性纤维肉瘤图片
隆突皮肤纤维肉瘤34例
纤维肉瘤
皮肤隆突纤维肉瘤图片
骨纤维肉瘤
纤维肉瘤细胞
纤维肉瘤切片
纤维肉瘤绘图
纤维肉瘤病理切片
神经纤维肉瘤
纤维肉瘤早期症状图片
纤维肉瘤手绘图
纤维肉瘤红蓝铅笔
纤维肉瘤病理手绘图
纤维肉瘤图片手绘图
纤维肉瘤红蓝铅笔图
隆突
气管隆突
纤维肉瘤红蓝铅笔绘图
腭隆突
气管隆突图片
颏隆突
骨隆突