首页
伤感说说
动漫配图
心情说说
抖音文案
伤感图片
伤感说说:
伤感的句子说说心情
空间说说
心情说说
爱情说说
女生伤感说说
人生感悟
心情不好的说说
说说带图片
关于生活的说说
说说心情短语
qq空间说说带图片
个性说说
励志名言
一句话经典语录
感悟人生的经典句子
短句吧
情感故事
抖音文案
伤感图片:
伤感图片带字
非主流伤感图片
唯美伤感图片
女生伤感图片
唯美意境图片
悲伤的图片
唯美意境伤感图片
只有字的伤感图片
说说图片
伤心的图片
美甲图片
图片大全
情感图片
微信头像男
动态壁纸
动漫配图
伤感图片
首页
>
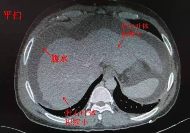
肝硬化的ct表现
肝硬化的ct表现,肝癌ct表现
肝硬化ct诊断要点及鉴别诊断.docx 8页
肝硬化ct影像表现
乙肝,慢性,10年,肝硬化初步.求帮看看,b超和ct,说的是
医生文章 正文 肝硬化主要ct表现: 1.
ct提示肝硬化,腹水,食管内可见扩张的血管
更多推荐
肝癌ct表现
肝囊肿ct表现
肝硬化ct影像表现图片
肝硬化ct图片
肝硬化CT
脑萎缩ct表现
轻度肝硬化
肺结核ct表现
肺气肿ct表现
肝硬化早期症状
肺癌ct表现
脑梗塞ct表现
肝硬化
胰腺炎ct表现
肝硬化的早期症状图片
肝硬化晚期
肝硬化病人
肝硬化可以治愈吗
肝硬化报告单
肝硬化检查报告
肝硬化一般寿命
肝硬化切片
间质性肺炎ct表现
肝硬化皮肤
肝硬化晚期图片
肝硬化失代偿期
肝硬化早期症状图片
抑郁症的表现症状
肝硬化图片
肝硬化瘀斑