首页
伤感说说
动漫配图
心情说说
抖音文案
伤感图片
伤感说说:
伤感的句子说说心情
空间说说
心情说说
爱情说说
女生伤感说说
人生感悟
心情不好的说说
说说带图片
关于生活的说说
说说心情短语
qq空间说说带图片
个性说说
励志名言
一句话经典语录
感悟人生的经典句子
短句吧
情感故事
抖音文案
伤感图片:
伤感图片带字
非主流伤感图片
唯美伤感图片
女生伤感图片
唯美意境图片
悲伤的图片
唯美意境伤感图片
只有字的伤感图片
说说图片
伤心的图片
美甲图片
图片大全
情感图片
微信头像男
动态壁纸
动漫配图
伤感图片
首页
>
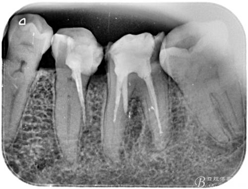
牙齿侧穿图片
牙齿侧穿图片,根管侧穿图片
底穿 加侧穿
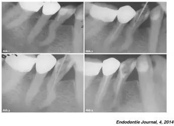
神奇的根管变异侧穿
神奇的根管变异侧穿
一例前磨牙根管侧穿再治疗!
弯曲冠部的内侧牙本质和弯曲根尖部的外侧牙本质(如上图),造成侧穿
更多推荐
根管侧穿图片
牙齿底穿的图片
牙怎么看出是底穿图片
根管治疗侧穿图片
牙齿图片结构图
牙齿图片
爆牙齿的图片
标准牙齿图片
烂牙齿图片
牙齿图片真人
坏牙齿图片
牙齿图片可爱
保护牙齿图片
牙齿侧位片
牙齿卡通图片
牙齿图片ppt
牙齿图片绘本
牙齿长息肉图片
牙齿图片小精灵
牙齿结构图
标准的牙齿咬合图片
牙齿根部发黑图片
舌侧矫正牙齿
牙齿口腔图
28颗牙齿名称图片
正常牙齿咬合图
牙齿插画图
正常牙齿头颅侧位片
牙齿里取出活虫图片
牙齿图片可爱卡通