首页
伤感说说
动漫配图
心情说说
抖音文案
伤感图片
伤感说说:
伤感的句子说说心情
空间说说
心情说说
爱情说说
女生伤感说说
人生感悟
心情不好的说说
说说带图片
关于生活的说说
说说心情短语
qq空间说说带图片
个性说说
励志名言
一句话经典语录
感悟人生的经典句子
短句吧
情感故事
抖音文案
伤感图片:
伤感图片带字
非主流伤感图片
唯美伤感图片
女生伤感图片
唯美意境图片
悲伤的图片
唯美意境伤感图片
只有字的伤感图片
说说图片
伤心的图片
美甲图片
图片大全
情感图片
微信头像男
动态壁纸
动漫配图
伤感图片
首页
>
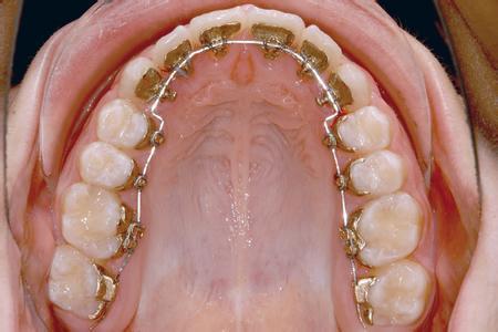
舌侧矫正牙齿
舌侧矫正牙齿,牙套舌侧矫正器
所谓"舌侧隐藏式",顾名思义,就是将矫正器安放在牙齿的内侧(舌
新乡口腔医院矫正牙齿多少钱隐形牙套和舌侧矫正器的价格都要
舌侧隐形矫正是什么样的牙齿矫正方法?
都是钢丝托槽,舌侧和传统矫正有何不同?
分享北京舌侧矫正价格告诉你为什么舌侧矫正那么贵
更多推荐
牙套舌侧矫正器
矫正牙齿
舌侧矫正
舌侧矫正器
舌侧隐形矫正
舌侧矫正图片
舌侧牙套
舌侧矫治器
舌刺矫正器
牙齿侧位片
舌侧牙套多少钱
舌挡矫正器
牙齿侧穿图片
舌侧矫治器图片
舌侧托槽
王嘉尔舌侧牙套
舌侧牙套大概多少费用
正畸舌刺
儿童舌刺矫正器
正常牙齿头颅侧位片
正畸舌刺图片
儿童舌挡矫正器
牙齿
牙齿结构
舌刺矫正器使用方法
固定舌刺矫正器图片
牙齿缺失
活动舌刺矫正器图片
牙齿图片
儿童吐舌矫正器