首页
伤感说说
动漫配图
心情说说
抖音文案
伤感图片
伤感说说:
伤感的句子说说心情
空间说说
心情说说
爱情说说
女生伤感说说
人生感悟
心情不好的说说
说说带图片
关于生活的说说
说说心情短语
qq空间说说带图片
个性说说
励志名言
一句话经典语录
感悟人生的经典句子
短句吧
情感故事
抖音文案
伤感图片:
伤感图片带字
非主流伤感图片
唯美伤感图片
女生伤感图片
唯美意境图片
悲伤的图片
唯美意境伤感图片
只有字的伤感图片
说说图片
伤心的图片
美甲图片
图片大全
情感图片
微信头像男
动态壁纸
动漫配图
伤感图片
首页
>
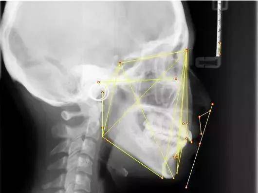
正常牙齿头颅侧位片
正常牙齿头颅侧位片,正常头颅侧位片
头颅侧位片
头颅侧位片△
治疗前头颅侧位片,口内照 上:治疗前 下:治疗后患者基本满意,侧貌
头颅侧位片 返回搜 责任编辑
头颅侧位片
更多推荐
正常头颅侧位片
头颅侧位片正畸
头颅侧位片正畸测量
头颅侧位片正畸定点
正常人的头颅侧位片图
头颅正侧位片
牙齿侧位片
口腔头颅侧位片
头颅侧位片
侧位头颅x片
标准头颅侧位片
头颅侧位片怎么看
头颅正侧位
正畸头颅侧位定点画图
头颅侧位片解剖
舌侧矫正牙齿
头颅侧位片绘图
头颅正侧位的x线图片
正常跟骨正侧位图片
牙齿侧穿图片
方颅正常头颅
正常牙齿咬合图
正常头颅图片
正常头颅ct图片
头颅侧位片拍摄方法
头颅侧位
跟骨侧轴位正常x片
头颅侧位解剖
正常头颅ct
头颅侧位解剖图