首页
伤感说说
动漫配图
心情说说
抖音文案
伤感图片
伤感说说:
伤感的句子说说心情
空间说说
心情说说
爱情说说
女生伤感说说
人生感悟
心情不好的说说
说说带图片
关于生活的说说
说说心情短语
qq空间说说带图片
个性说说
励志名言
一句话经典语录
感悟人生的经典句子
短句吧
情感故事
抖音文案
伤感图片:
伤感图片带字
非主流伤感图片
唯美伤感图片
女生伤感图片
唯美意境图片
悲伤的图片
唯美意境伤感图片
只有字的伤感图片
说说图片
伤心的图片
美甲图片
图片大全
情感图片
微信头像男
动态壁纸
动漫配图
伤感图片
首页
>
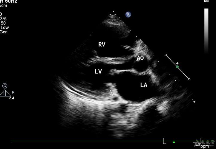
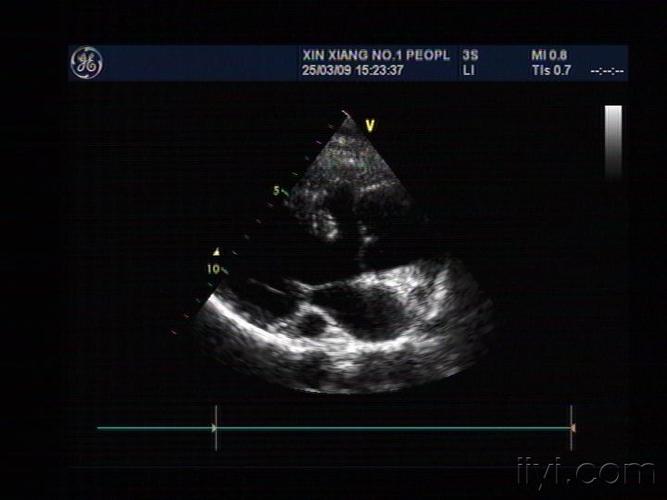
冠状静脉窦增宽
冠状静脉窦增宽,冠状静脉窦心律
请问:是否是冠状静脉窦型房间隔缺损?
转位,注意冠状静脉窦
宝宝四维,"永存左上腔静脉,冠状静脉窦增宽",宝妈们有我这种情况吗?
一个病例引发的思考 —— 冠状静脉窦扩张的诊断思路
冠状静脉窦增宽——冠状静脉窦和降主动脉隐藏于标准切面的心脏结构无
更多推荐
冠状静脉窦心律
冠状静脉窦
冠状静脉窦位置
冠状静脉窦扩张
冠状静脉窦开口
冠状静脉窦超声
冠状静脉窦图片
冠状静脉窦解剖
冠状静脉窦位置图片
冠状静脉窦心律心电图
冠状静脉
冠状静脉窦超声图像
无顶冠状静脉窦综合征
冠状静脉窦超声切面
冠状静脉窦解剖图片
心脏冠状静脉窦超声图
冠状静脉窦解剖图ppt
胃冠状静脉
静脉窦
腔静脉窦
血管静脉窦
心脏静脉窦
颅内静脉窦
冠状窦
手臂静脉窦
静脉窦血栓
静脉窦图片
冠状动脉窦口解剖图
胃冠状静脉走行图
冠状窦口