首页
伤感说说
动漫配图
心情说说
抖音文案
伤感图片
伤感说说:
伤感的句子说说心情
空间说说
心情说说
爱情说说
女生伤感说说
人生感悟
心情不好的说说
说说带图片
关于生活的说说
说说心情短语
qq空间说说带图片
个性说说
励志名言
一句话经典语录
感悟人生的经典句子
短句吧
情感故事
抖音文案
伤感图片:
伤感图片带字
非主流伤感图片
唯美伤感图片
女生伤感图片
唯美意境图片
悲伤的图片
唯美意境伤感图片
只有字的伤感图片
说说图片
伤心的图片
美甲图片
图片大全
情感图片
微信头像男
动态壁纸
动漫配图
伤感图片
首页
>
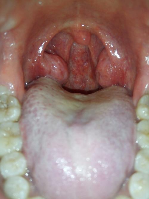
喉咙有泡泡
喉咙有泡泡,喉咙长泡泡
喉咙里长了这些水泡样的东西不知道是什么,早上刷牙会
喉咙里起泡,还一个劲的咳嗽
这个是不是咽喉癌?求好医生解答.万分感谢!
喉咙上长了这么一个白色的东西,疼得很,请问这是什么?
喉咙痛 脚上也起了好多泡 这么回事?
更多推荐
喉咙长泡泡
喉咙有泡泡图片
喉咙滤泡
喉咙长泡泡图片
小孩喉咙有泡泡图片
喉咙里面长泡泡图片
喉咙发炎
喉咙里面长泡泡怎么办
喉咙长泡泡是怎么回事
喉咙起泡图片
舌根喉咙处起泡泡图片
喉咙滤泡图片
喉咙草
喉咙息肉
喉咙图片
喉咙结构
喉咙内壁长了很多泡
喉咙内壁长泡图片
泡泡水
喉咙发炎图片
喉咙疱疹图片
喉咙壁上长了好多泡
慢性咽炎喉咙滤泡图片
喉咙结构图
喉咙长疱疹图片
泡泡花
喉咙正常图片
小孩喉咙长泡的图片
喉咙长白色的东西
泡泡画