首页
伤感说说
动漫配图
心情说说
抖音文案
伤感图片
伤感说说:
伤感的句子说说心情
空间说说
心情说说
爱情说说
女生伤感说说
人生感悟
心情不好的说说
说说带图片
关于生活的说说
说说心情短语
qq空间说说带图片
个性说说
励志名言
一句话经典语录
感悟人生的经典句子
短句吧
情感故事
抖音文案
伤感图片:
伤感图片带字
非主流伤感图片
唯美伤感图片
女生伤感图片
唯美意境图片
悲伤的图片
唯美意境伤感图片
只有字的伤感图片
说说图片
伤心的图片
美甲图片
图片大全
情感图片
微信头像男
动态壁纸
动漫配图
伤感图片
首页
>
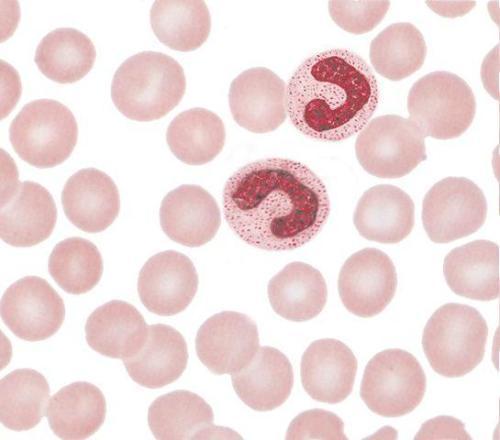
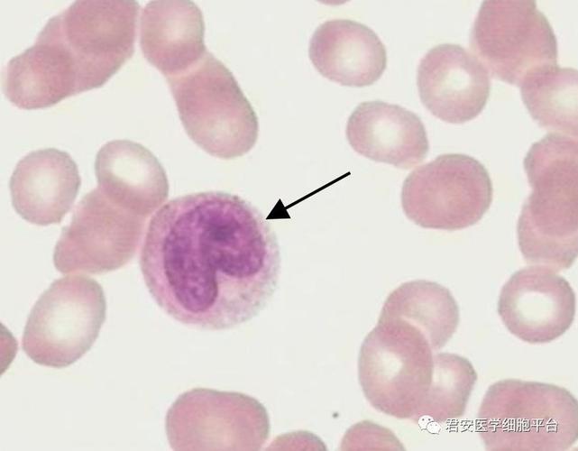
中性晚幼粒细胞
中性晚幼粒细胞,原幼淋巴细胞
早幼,中幼,晚幼粒细胞,杆状核粒细胞,分叶核粒细胞
中性晚幼粒细胞
中性晚幼粒细胞 第9页 (共20页,当前第9页) 的相关文档搜索
中性中幼粒细胞
科普下中性晚幼粒细胞和杆状核粒细胞的超微结构是什么
更多推荐
原幼淋巴细胞
中幼粒细胞
晚幼红细胞
中性分叶核粒细胞
嗜碱性晚幼粒细胞
中性粒细胞核鼓槌小体
异形淋巴细胞
淋巴细胞
中性早幼粒细胞
椭圆形红细胞
裸核细胞
中性晚幼粒细胞图片
原始单核细胞
晚幼红细胞图片
正常血小板
嗜碱性中幼粒细胞
狼疮细胞
中性中幼粒细胞图片
镰形红细胞
原始红细胞
嗜酸性中幼粒细胞
正常中性粒细胞
晚幼粒细胞
嗜碱细胞
原始细胞
低色素性红细胞
中幼红细胞
棘形红细胞
有核红细胞
原始淋巴细胞